
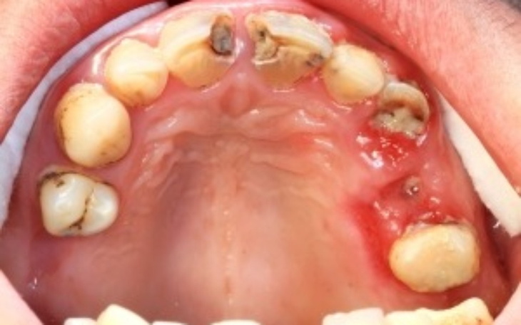
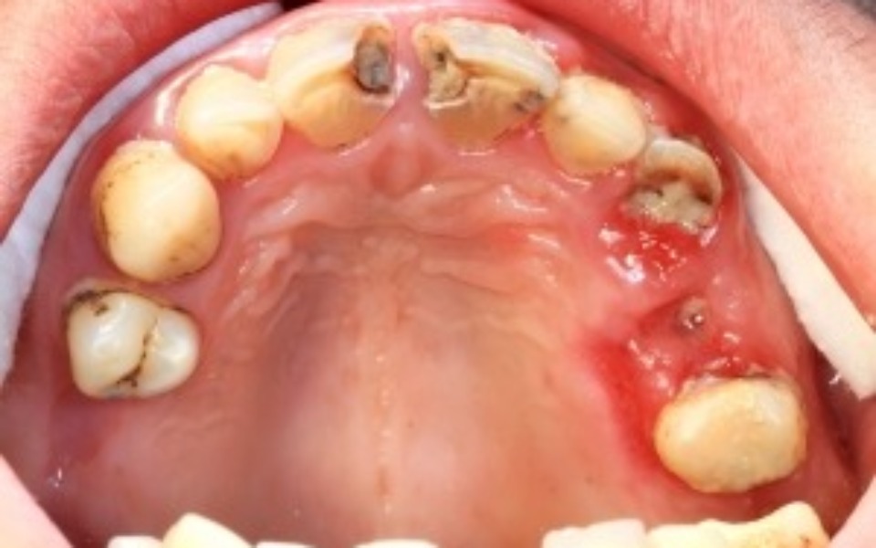
Dzień dobry. Jestem 33 letnim mężczyzną i ojcem dwójki dzieci. Niestety poprzez zaniedbanie zębów i jamy ustnej spowodowane zwyczajnie brakiem pieniędzy i możliwością leczenia w najważniejszych momentach pozbawionym szczerego i radosnego uśmiechu. Codzienny wstyd odbiera mi radość z najdrobniejszych rzeczy jak i powoduje rozwój dalszych infekcji zmuszających mnie do usuwania kolejnych zębów. Straciłem pewność siebie a wstyd przed wyglądem i ludźmi coraz częściej zaczyna więzić mnie w czterech ścianach. Nie posiadam dalszych środków na podjęcie leczenia. Z ogromną siłą staram się zaoszczędzić każdy zarobiony grosz aby móc zapewnić swoim dzieciom dach nad głową i regulować bieżące opłaty. Bardzo długo zwlekałem z prośbą każdego z Was o symboliczne wsparcie ze względu na wstyd i poczucie bezsilności. Czy mogę prosić Was o pomoc w szczerym i zdrowym uśmiechu..o który tak często proszą mnie dzieci? Tak bardzo chcę pozbyć się codziennych infekcji, bólu i stanów zapalnych.Jeżeli ktoś zdecyduję mi się pomóc w tej beznadziejnej sytuacji osobiście okaże mu moją wdzięczność....
Załóż darmową zbiórkę pieniędzy dla siebie, swoich bliskich lub potrzebujących!