
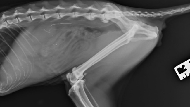
Niunia jest rezolutną kotką, pełną życia i radości w oczkach. Uwielbiała sie bawić z innymi domownikami i towarzyszącymi jej innymi kotami domowymi. Niestety od jakiegoś czasu jej stan zdrowia mocno się pogorszył. Straciła ochote na zabawę, przeszła zabieg usuwania kamieni z pęcherza - ratujemy naszą kicie na wszystkie możliwe sposoby. Po zabiegu odzyskała chęć na zabawę, zaczęła się wspinać, wypróżnianie nie było już takie trudne dla niej. Jednak z dnia na dzień jej stan zdrowia się pogorszył, a po świętach Bożego Narodzenia doprowadził do tego, że kicia nie jest w stanie samodzielnie chodzić.. Nagle kicia przestała chodzić. Po konsultacji weterynaryjnej wiem, że tak naprawde ból kręgosłupa nie pozwala jej normalnie korzystać z życia. Niunia ma stwierdzone zwyrodnienie kręgosłupa.. potrzebny jest rezonans magnetyczny, który jest mega kosztowny i być może po tym badaniu zostałaby zakwalifikowana na operacje kręgosłupa.. 😔💔


Od kilku lat kicia zmaga się z chorobą nerek, ale mimo doskwierających problemów moczowych jej wyniki badań są bardzo zadowalające. Nie można jednak tego powiedzieć o jej kręgosłupie. Kotka ma 10 lat więc tak naprawdę ma przed sobą jeszcze kilka lat życia, niestety bez kosztownego zabiegu czeka ją wózek inwalidzki..

Zwracam się z prośbą do dobrych duszyczek o wsparcie finansowe dla mojej kici na zabieg kręgosłupa, aby znów mogła się swobodnie poruszać.
Dziś nie jest w stanie zrobić nawet dwóch kocich kroków, nie jest w stanie usiąść, ponieważ od razu się przewraca. Wchodzenie na wysokość i korzystanie z kuwety jest nie wykonalne bez przewrócenia się. Oprócz tego towarzyszy jej zanik mięśni skokowych. Próbujemy tego uniknąć masażami i rehabilitacją domową.
Kochamy naszą kicię i chciałabym jej zapewnić jak najlepsze przeżycie starości, jednak nie mam takiej gotówki żeby znów mogła swobodnie chodzić.. Bez Waszego wsparcia czeka ją wozek inwalidzki 😔
Proszę pomóżcie Niuni stanąć na nogi!
Dziękuję!
Twoje słowa mają moc pomagania! Wpłać darowiznę i przekaż kilka słów wsparcia 🤲
Uważasz, że ta zbiórka zawiera niedozwolone treści ? Napisz do nas
Załóż darmową zbiórkę pieniędzy dla siebie, swoich bliskich lub potrzebujących!
Paweł Gryta
Zdrówka i więcej osób chętnych pomóc !
Katarzyna Tomczak - Organizator zbiórki
Dziękuję bardzo