
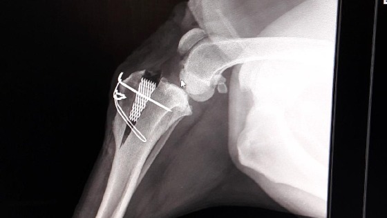
Cześć !! Nazywam się Bongo i mam 3 lata. Jako pies mogę powiedzieć, że nie miałem łatwo... urodziłem się w psełdo-hodowli labladorów w fatalnych warunkach, mało nie utonąłem w błocie i brudzie jaki tam panował, dzięki reakcji odpowiednich służb trafiłem do fundacji skąd moja Pańcia zabrała mnie do ciepłego, pełnego rodziny domu z wielkim podwórkiem gdzie biegałem całymi dniami a wieczorami oglądałem TV z moją Panią. Niestety sielanka nie trwała długo, szybko zdiagnozowali u mnie dysplazje ale nie poddawałem się, od razu wdrożono mi odpowiednie leki i byłem całkiem w dobrej formie, aż do kolejnego nieszczęścia. Podczas jednego ze spacerów zerwałem w tylnej łapie więzadło krzyżowe. Moja ukochana Pani nie zastanawiała się ani chwili, po szeregu konsultacji trafiłem do wybitnych fachowców z Puławskiego Centrum Weterynaryjnego, gdzie wszczepiono mi implant. Niestety koszty leczenia są bardzo wysokie, boję się, że budżet mojej opiekunki może tego nie wytrzymać!!!
Dlatego nie bądź obojętny i prześlij chociaż 1 zł dla Ciebie to nie dużo a mi umożliwi to powrót do sprawności i zabawy z innymi psiakami hau hau haauuuuuu !!





Gdy świat się wali, dajemy nadzieję ❤️ Pomagamy chorym i bezdomnym zwierzętom, ratujemy je w sytuacjach kryzysowych np. w czasie mrozów lub powodzi oraz wspieramy schroniska 🏠🐾
Jak odmienić los tysięcy potrzebujących za darmo?
✅ Wybierz Fundacja Pomagam.pl na liście OPP w rozliczeniu PIT.
✅ Wpisz nasz numer KRS 00 00 353 888 w deklaracji PIT.
Dla Ciebie to rubryka. Dla nich szansa, by przetrwać najgorsze.