
Witam, nazywam się Karolina, aktualnie studiuję weterynarię i udzielam korepetycji z języka angielskiego, jednak z racji na ciężkie studia, czas pozwala mi zarobić jedynie na bieżące utrzymanie Zoji.
W związku z tym, bardzo proszę o wsparcie w powrocie Zoji do zdrowia - dotychczasowe wydarzenia w moim życiu nie pozwalają mi zaoszczędzić wystarczającej kwoty na jej leczenie - koszt operacji i transportu zdecydowanie przekracza moje możliwości finansowe. Doznany uraz to złamanie dystalnego końca kości rysikowej, przypadkowy uraz padokowy, aktualnie powodujący opuchliznę, ból oraz niechęć do ruchu, wymagający chirurgicznego usunięcia w szpitalu dla koni, odległym o 150km, co dodatkowo generuje koszty transportu konia do kliniki. Będziemy wdzięczne za każdą przeznaczoną na ten cel złotówkę.

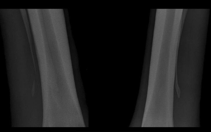
Złamaniu uległ koniec zewnętrznej kości rysikowej (widoczne po lewej stronie powyższego zdjęcia), w drugiej części, jako porównanie widoczny jest rysik wewnętrzny, bez uszkodzeń.

Zoję mam od 6 lat - kto nas zna, ten wie jak wiele razem przeszłyśmy. Zoję kupił mi ojczym, gdy sytuacja finansowa mojej rodziny była lepsza niż obecnie - jednak niedługo potem zachorował i zmarł. W okresie technikum w wolnych chwilach pracowałam w gastronomii by mimo ciężkiej sytuacji jej nie stracić (nieraz do nocy, prosto po szkole). Zoja została kupiona jako koń trudny, po przejściach. Zawsze traktowałam ją z empatią i zrozumieniem, dzięki czemu aktualnie jesteśmy w stanie darzyć się wzajemnym zaufaniem, mimo trudnych początków obejmujących wyrywanie się przy prowadzeniu, brykanie czy dębowanie.

Twoje słowa mają moc pomagania! Wpłać darowiznę i przekaż kilka słów wsparcia 🤲
Uważasz, że ta zbiórka zawiera niedozwolone treści ? Napisz do nas


Gdy świat się wali, dajemy nadzieję ❤️ Pomagamy chorym i bezdomnym zwierzętom, ratujemy je w sytuacjach kryzysowych np. w czasie mrozów lub powodzi oraz wspieramy schroniska 🏠🐾
Jak odmienić los tysięcy potrzebujących za darmo?
✅ Wybierz Fundacja Pomagam.pl na liście OPP w rozliczeniu PIT.
✅ Wpisz nasz numer KRS 00 00 353 888 w deklaracji PIT.
Dla Ciebie to rubryka. Dla nich szansa, by przetrwać najgorsze.
koleżanka z wety
zdrówka!