Katarzyna Ruszkowska
Barry wczoraj odbył swoją druga sesje w tym tygodniu. Był bardzo dzielny, efekty są zauważalne 💚 serdecznie dziękujemy za wszystkie wpłaty, czekamy chociaż na 2,5 tysiąca aby móc umówić Barrego na rezonans kręgosłupa 🩻

Witajcie w sercu historii o psie imieniem Barry – wiernej duszy i towarzyszu życia, który potrzebuje waszej pomocy bardziej niż kiedykolwiek wcześniej!

Barry nie jest zwykłym psem – to członek rodziny, ukochany przyjaciel, który swoją radością i oddaniem ożywia każdy dzień swojego właściciela. Barry to pies o nieznanej przeszłości, od podrostka wykazuje ogromne zachowania lękowe.
Ja nazywam się Katarzyna Ruszkowska i wraz z koleżankami z gabinetu rehabilitacji zwierząt VitaVet we Wrocławiu, wspomagamy Barrego w walce o zdrowie. Jako zespół miłośniczek zwierząt i osób o wielkiej empatii występujemy do Was z ogromną prośbą o pomoc… Każdy właściciel ogromnie boi się momentu w którym jego pies zachoruje, a Pan Marek właśnie znalazł się w takiej sytuacji…. Zbiórka organizowana jest za jego zgodą (wcale nie było łatwo Pana przekonać…. Z uwagi na pogarszający się stan zwierzęcia i ograniczone środki finansowe nie ma on innego wyjścia). Jako, że Barry szczególnie złapał nas za serduszka prosimy Was o wsparcie w tej nierównej walce!

Jego oddany właściciel, który sam przeszedł już wiele z życiowych burz, niezachwianie podjął się roli opiekuna dla Barry'ego, mimo jego licznych traum. Dawne złamanie ogona i miednicy świadczą o tym, przed jakim losem uratował go Pan Marek. Dzięki swojej miłości do bokserów i doświadczeniu z rasą Barry z psa który bał się dosłownie wszystkiego- nawet piłeczki czy miski z jedzeniem, stał się promykiem każdego, kto go pozna. Merdającym ogonem wita nas przed każdą wizytą i za każdym razem udowadnia jak ogromną prace wykonał nad nim jego właściciel. Dotychczas pan Marek wydał już ponad 5 tysięcy złotych na diagnostykę, leczenie i rehabilitację, ale droga do pełnego zdrowia jest daleka i kosztowna. Trwa już nieprzerwanie od miesiąca!
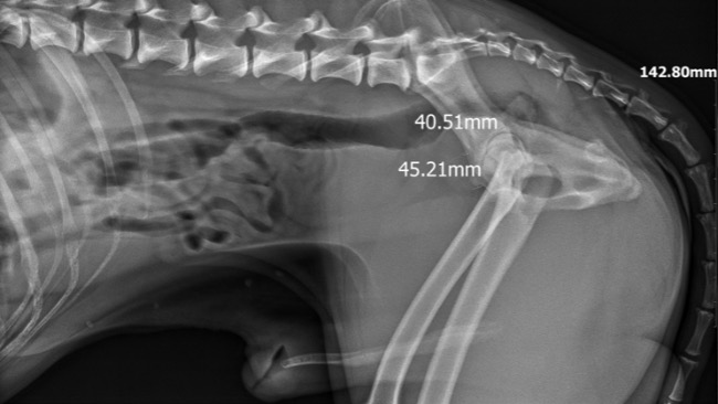
Objawy Barrego mają silnie wyrażony charakter, pies od początku jest diagnozowany klinicznie i obrazowo, jednak nadal nie postawiono konkretnej diagnozy. Proponowane są kolejne, badania, zabiegi… A Barry, dzień po dniu, traci władze w swoich tylnich kończynach. To jednak, nie przeszkadza panu Markowi sprawować nad nim opieki na najwyższym poziomie i nie poddawać się w walce o ukochanego przyjaciela. Potrzebujemy pieniędzy na dalsze działania i rozwikłanie tej zagadki. Barry na chwile obecną potrzebuje rezonansu magnetycznego kręgosłupa z badaniami PMR. Chciałybyśmy aby właściciel nie musiał wybierać między swoim zdrowiem, a życiem swojego psa…
Ciągle przyjmowane leki, liczne wizyty weterynaryjne, fizjoterapeutyczne. To i tak zbyt mało w ogniu rosnących kosztów. Fizjoterapia widocznie wspiera Barrego i jego właściciela, ale aby móc działać celowanie i kompleksowo- musimy wiedzieć co odbiera Barremu władze w nogach!
Ten psiak ma dopiero ponad 2 lata…
Dlatego dzisiaj zwracamy się do was, ludzi o wielkich sercach, którzy rozumieją moc więzi między człowiekiem a jego czworonożnym przyjacielem. Wasze wsparcie może oznaczać dla Barry'ego szansę na powrót do zdrowia, na beztroskie bieganie po parku i szczęśliwe chwile spędzone z ukochanym właścicielem. Każdy grosz, jaki możecie podarować, przynosi nadzieję i ulgę w sercu tej niezwykłej relacji.
Razem możemy uczynić cud. Razem możemy dać Barry'emu drugą szansę na życie pełne radości i miłości. Niech nasze kliknięcia prowadzą nas do pomagam.pl, gdzie nasza wspólna siła stanie się promieniem nadziei dla Barry'ego i jego kochającego właściciela. Dziękujemy za wasze dobroć i wsparcie w tej trudnej, ale niezwykle ważnej podróży.
Barry wczoraj odbył swoją druga sesje w tym tygodniu. Był bardzo dzielny, efekty są zauważalne 💚 serdecznie dziękujemy za wszystkie wpłaty, czekamy chociaż na 2,5 tysiąca aby móc umówić Barrego na rezonans kręgosłupa 🩻
Uważasz, że ta zbiórka zawiera niedozwolone treści ? Napisz do nas


Gdy świat się wali, dajemy nadzieję ❤️ Pomagamy chorym i bezdomnym zwierzętom, ratujemy je w sytuacjach kryzysowych np. w czasie mrozów lub powodzi oraz wspieramy schroniska 🏠🐾
Jak odmienić los tysięcy potrzebujących za darmo?
✅ Wybierz Fundacja Pomagam.pl na liście OPP w rozliczeniu PIT.
✅ Wpisz nasz numer KRS 00 00 353 888 w deklaracji PIT.
Dla Ciebie to rubryka. Dla nich szansa, by przetrwać najgorsze.