
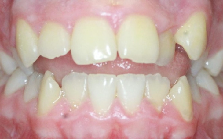
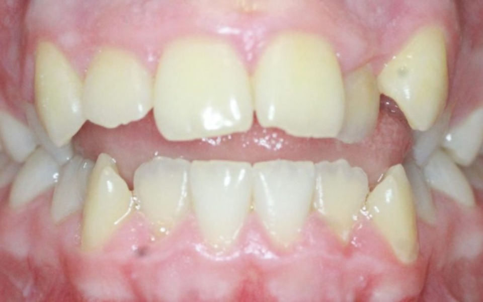
Hejka wszystkim. Zwracam się do was z prośbą (nikogo nie zmuszam) o wpłaty. Każda złotówka się liczy. Mam bardzo krzywy zgryz przez co moje żeby się ścierają. Przez to mam także wadę wymowy. Nie stać moich rodziców aż tak, abym mogła mieć zapewnione leczenie ortodontyczne ponieważ jest bardzo kosztowne. Pozbyłabym się wreszcie kompleksów. Bardzo by ułatwiło mi to życie. Wiem że jest wiele więcej potrzebujących zbiórek, więc jeżeli ktoś nie chce wpłacać to zrozumiem. Dziekuje wszyslstkim z góry!


Gdy świat się wali, dajemy nadzieję ❤️ Wspieramy chorych w pozyskaniu środków na leczenie, pomagamy zwierzętom i reagujemy natychmiast w pilnych sytuacjach kryzysowych 🚨
Jak odmienić los tysięcy potrzebujących za darmo?
✅ Wybierz Fundacja Pomagam.pl na liście OPP w rozliczeniu PIT.
✅ Wpisz nasz numer KRS 00 00 353 888 w deklaracji PIT.
Dla Ciebie to rubryka. Dla nich szansa, by przetrwać najgorsze.