
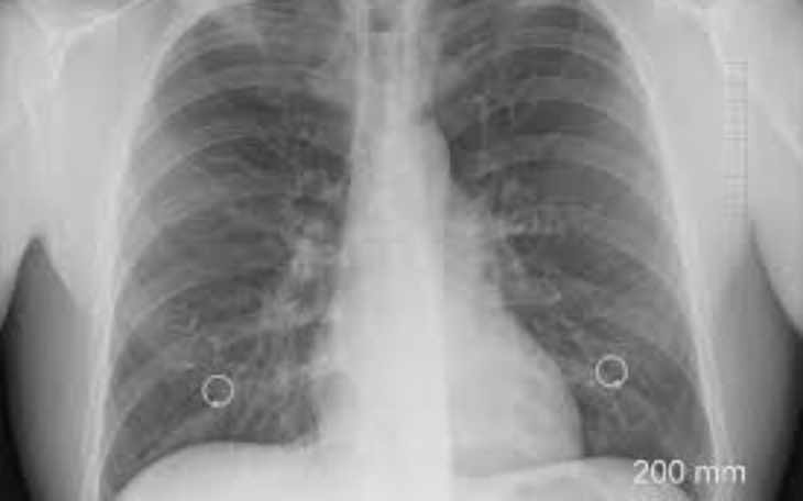
Witam kochani!!Trafiłam do szpitala z podejrzeniem zaplenia płuc, po 2 antybiotykach kaszel nie mijał.Po zrobieniu zdjecia dokładnyc badań lekarze skierowali mnie na biopsje bo wyniki były bardzo złe.Wykryto u mnie raka płuc diagnoza mnie załamała.Bo ten rak to wyrok.nowotwor płuc umieszczony w opłucnej i jest nie operacyjny ale walka cały czas trwa.Po chemi było troche lepiej gdy juz sie zmniejszył.Choc chemia przestała działac. Rak sie rozrasta i zaatakował moj kregosłup.czeka mnie teraz radioterapia.Jesli jestes mi w stanie pomoc w walce z gory DZIEKUJE za pomoc,kazda wpłata jest dla nie cenna
Uważasz, że ta zbiórka zawiera niedozwolone treści ? Napisz do nas


Gdy świat się wali, dajemy nadzieję ❤️ Wspieramy chorych w pozyskaniu środków na leczenie, pomagamy zwierzętom i reagujemy natychmiast w pilnych sytuacjach kryzysowych 🚨
Jak odmienić los tysięcy potrzebujących za darmo?
✅ Wybierz Fundacja Pomagam.pl na liście OPP w rozliczeniu PIT.
✅ Wpisz nasz numer KRS 00 00 353 888 w deklaracji PIT.
Dla Ciebie to rubryka. Dla nich szansa, by przetrwać najgorsze.