
Cześć jestem mamą 5 letniego buldożka francuskiego wabiącego się Fred.
Fred jest dla mnie jak dziecko i bardzo dużo dla mnie znaczy, jest wesołym, radosnym i pełnym energii psiakiem który od niedawna kuleje na tylna prawa łapkę.
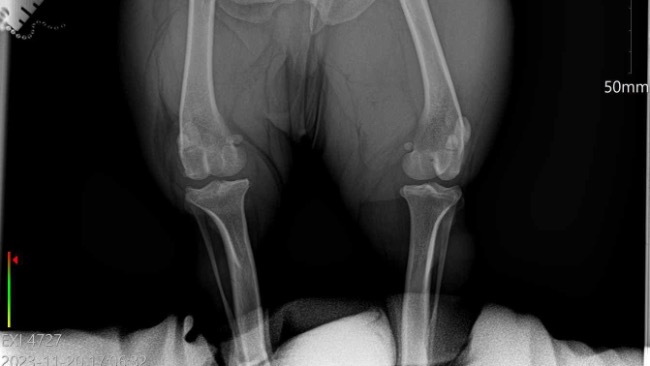
Początkowo pojechalam z partnerem do weterynarza ktory po konsultacj z nami i zbadaniu pieska podejrzewał zerwanie więzadła krzyżowego. Weterynarz skierował nas na prześwietlenie łapki oraz badania krwi do Dr. Gierek w Katowicach. Niestety obawy naszego weterynarz się potwierdziły okazało się ze musi mieć jak najszybszą operacje ponieważ gdy nie zoperujemy zerwanego więzadła piesek będzie cierpiał i jednocześnie obciążał mocno druga tylnią łapkę i może dojść do zerwania więzadła w drugiej łapce a wtedy nasz piesek już nie będzie mógł biegać.
Prosimy o pomoc was ponieważ sami nie jesteśmy w stanie zebrać takiej kwoty w tak krótkim czasie. Będziemy ogromnie wdzięczni za każdy przekazany grosz na naszego maluszka. Wiemy ze na tym świecie istnieją ludzie o dobrych sercach, prosimy o pomoc w zebraniu pieniążków na operację.
Całą zebrana kwotę przekażemy na operacje naszego psiaka. W załączniku udostępnione są wyniki oraz zdjęcie łapki





Twoje słowa mają moc pomagania! Wpłać darowiznę i przekaż kilka słów wsparcia 🤲
Uważasz, że ta zbiórka zawiera niedozwolone treści ? Napisz do nas


Gdy świat się wali, dajemy nadzieję ❤️ Pomagamy chorym i bezdomnym zwierzętom, ratujemy je w sytuacjach kryzysowych np. w czasie mrozów lub powodzi oraz wspieramy schroniska 🏠🐾
Jak odmienić los tysięcy potrzebujących za darmo?
✅ Wybierz Fundacja Pomagam.pl na liście OPP w rozliczeniu PIT.
✅ Wpisz nasz numer KRS 00 00 353 888 w deklaracji PIT.
Dla Ciebie to rubryka. Dla nich szansa, by przetrwać najgorsze.
Daniel Frania
Zdrówka dla Fredzia
bibi
❤️