
Drodzy, mam na imię Miki i jestem kotem rasy europejskiej, urodziłem się w 2022 roku. Moje życie rozpoczęło się w ciepłym i przytulnym domu, gdzie zostałem przygarnięty przez moich opiekunów. 
Razem z siostrą Milą, tworzymy zgrany duet. Życie było dla nas naprawdę łaskawe – spędzaliśmy czas na zabawie, wylegiwaniu się na słońcu oraz odkrywaniu zakamarków domu i ogrodu.

Niestety, pewnego dnia, wybiegłem na ulicę, gdzie zostałem potrącony przez samochód. Całe moje życie zamarło w tym momencie – ból i strach zalały moją małą kocią duszę.
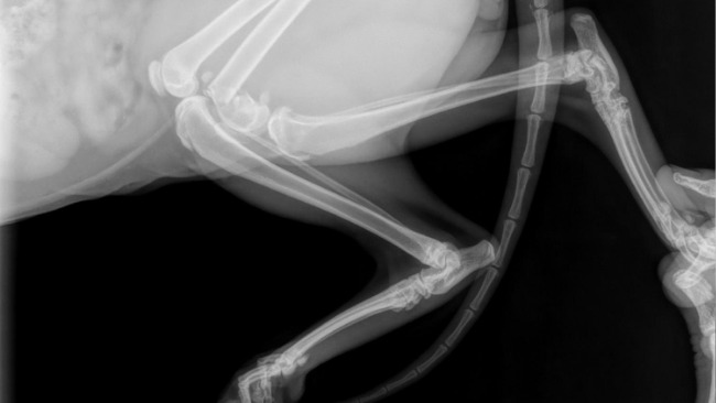
Po przybyciu do kliniki weterynaryjnej, lekarze przeprowadzili szczegółowe badania, które ujawniły uraz – złamanie przynasady kości udowej lewej.
W zaleceniach natychmiastowe wykonanie zabiegu ortopedycznego (dwa złamania).
Okres rekonwalescencji był związany z koniecznością gimnastyki ( ! ) a ja musiałem cierpliwie znosić wszystkie zabiegi, podawanie leków i wizyty u lekarzy. Mimo przeciwności losu, otrzymałem mnóstwo miłości i wsparcia, co dodawało mi otuchy. 
Teraz, po przebytej operacji i rozszerzonym leczeniu, z perspektywą patrzę w przyszłość.

Moi kochani opiekunowie, mimo że byli bardzo zrozpaczeni, zdecydowali się na wszystko, aby spełnić potrzeby pomocy.
Każda forma wsparcia, nawet najmniejsza będzie dla nas pomocna. Dziękuję za czas i zrozumienie mojej sytuacji.
Uważasz, że ta zbiórka zawiera niedozwolone treści ? Napisz do nas


Gdy świat się wali, dajemy nadzieję ❤️ Pomagamy chorym i bezdomnym zwierzętom, ratujemy je w sytuacjach kryzysowych np. w czasie mrozów lub powodzi oraz wspieramy schroniska 🏠🐾
Jak odmienić los tysięcy potrzebujących za darmo?
✅ Wybierz Fundacja Pomagam.pl na liście OPP w rozliczeniu PIT.
✅ Wpisz nasz numer KRS 00 00 353 888 w deklaracji PIT.
Dla Ciebie to rubryka. Dla nich szansa, by przetrwać najgorsze.