
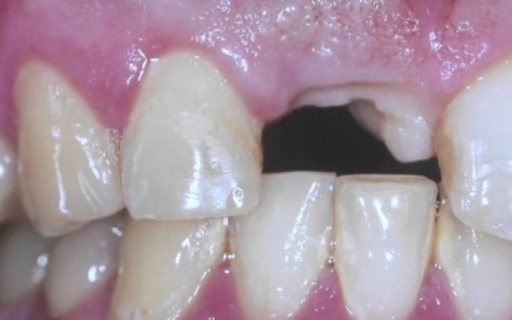
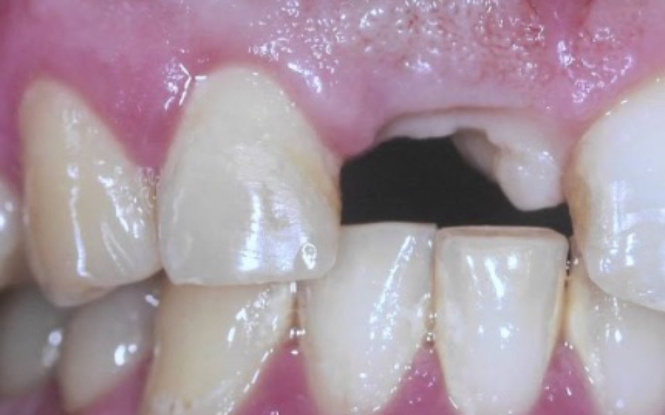
Zbieram na nowego zęba wstyd mi pokazywać się publicznie :( złamał mi się ząb górna jedynka za mną już kilka wizyt u stomatologa ale nie ma innego ratunku niż wstawienie nowego zęba. Nie dam rady sama uzbierać tak ogromnej kwoty, pracuję za najniższą krajową, mam mieszkanie na utrzymaniu i opiekuję się swoją schorowaną 87 letnią babcią. Moja najbliższa rodzina z którą mam kontakt ledwo przeżywa "od 1 do 1". Nie mam na kogo liczyć więc ta zbiórka to moja ostatnia deska ratunku. Będę wdzięczna za każdą złotówkę. Mam 21 lat marzę o tym żeby wyleczyć swoje zęby raz na zawsze ale na tym mi najbardziej zależy aby móc się ponownie uśmiechnąć...
Uważasz, że ta zbiórka zawiera niedozwolone treści ? Napisz do nas


Gdy świat się wali, dajemy nadzieję ❤️ Wspieramy chorych w pozyskaniu środków na leczenie, pomagamy zwierzętom i reagujemy natychmiast w pilnych sytuacjach kryzysowych 🚨
Jak odmienić los tysięcy potrzebujących za darmo?
✅ Wybierz Fundacja Pomagam.pl na liście OPP w rozliczeniu PIT.
✅ Wpisz nasz numer KRS 00 00 353 888 w deklaracji PIT.
Dla Ciebie to rubryka. Dla nich szansa, by przetrwać najgorsze.