
Witam na mojej zbiórce na lek Palladia 50mg dla Keko
Nazywam się Oksana i jeżeli wsparłaś/wsparałeś moją poprzednią zbiórkę na operację dla Keko, to bardzo Ci dziękuję♥️🙏
Zapewnie już znasz naszą krótką historię:
Wiosną walczyliśmy o życie Keko i wtedy udało się. Po splektomii - całkowitym usunięciu śledziony - usianej guzami złośliwymi - Keko już prawie doszedł do siebie. Minęło 8 miesięcy I teraz rozpoczynamy nowy etap walki o każdy dzień życia Keko.

Tym razem walkę o jego życie zaczęłam 25.12.2024, kiedy zatrzymało mu się krążenie i przestał nagle oddychać...

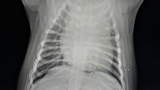
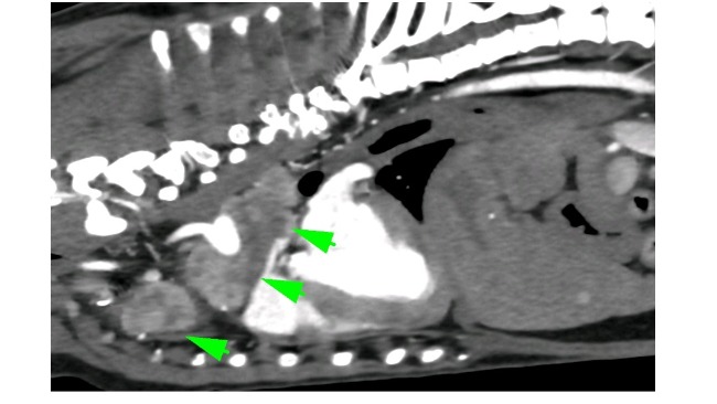
Od tego momentu zostało wykonane RTG, liczne USG, badania krwi, Echo serca...i w koncu TK z kontrastem, które niestety potwierdziło bardzo smutną dla mnie diagnozę...guz podstawy serca💔


Guz o średnicy 4,5 cm uciska mu aortę i tchawicę. Niestety są już także przerzuty w węzłach chłonnych śródpiersia.

Pomimo tak strasznej diagnozy, Keko jest w dobrej kondycji klinicznej, ma apetyt i uwielbia spacery, coprawda już w swoim własnym tempie, bo ma nadciśnienie płucne i zadyszkę, przez ucisk guza na tchawicę i płuca.
Po wykonanej biopsji, zleconych badań krwi oraz ocenie stanu Keko, zalecono nam spróbować stosowanie leku Palladia 50mg.
Z cykliczną kontrolą badań krwi i moczu oraz USG guza, które potwierdzi czy lek jest odpowiednim dla Keko, czy działa i czy pomaga (czy guz nie rośnie) lek ma zatrzymać rozrost nowych komórek rakowych.
Będę wdzięczna za każdą formę wsparcia:
Finansową/udostępnienie zbiorki, a może właśnie właśnie ktoś wśród Twoich znajomych stosował taki lek i jego zwierzątku kotku lub piesku lek nie dopasował, nie byl skutecznym i pozostał, więc chętnie przygarniemy i taki lek. Kotki i mniejsze pieski stosują zazwyczaj mniejsze dawki 10mg lub 15 mg, odpowiednio do masy ciała, ale taki lek też będzie ok.
Proszę o kontakt jeżeli macie lek do zaoferowania🙏
Dziękujęmy♥️
Oksana i Keko

Uważasz, że ta zbiórka zawiera niedozwolone treści ? Napisz do nas


Gdy świat się wali, dajemy nadzieję ❤️ Pomagamy chorym i bezdomnym zwierzętom, ratujemy je w sytuacjach kryzysowych np. w czasie mrozów lub powodzi oraz wspieramy schroniska 🏠🐾
Jak odmienić los tysięcy potrzebujących za darmo?
✅ Wybierz Fundacja Pomagam.pl na liście OPP w rozliczeniu PIT.
✅ Wpisz nasz numer KRS 00 00 353 888 w deklaracji PIT.
Dla Ciebie to rubryka. Dla nich szansa, by przetrwać najgorsze.