
Moli to dwuletnia suczka - mieszaniec w typie labradora. Jest pełna energii, skora do zabawy i psot. Jest bardzo wdzięcznym psem, pomimo trudnego "startu w życie ".
Moli pochodzi ze schroniska i pierwsze tygodnie swojego życia spędziła właśnie tam. W tym miejscu ja poznałam i od razu wiedziałam że to u mnie znajdzie się kąt dla siebie. Jej domem stało się RANCHO, w którym spotyka z się z miłością ludzi, ma ZIOMKA - kompana do zabaw i ogrom przestrzeni, na której może hasać do woli 😊🥰 Jest otoczona opieką i nie ma dnia, żebym w jej zachowaniu nie widziała jak jest szczęśliwa !! ❤️ Moli to prawdziwy pieszczoch 🖤


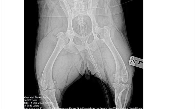
Niestety w naszej sielance położył kres wynik ostatnich badań Moli....
Stwierdzono u niej kulawiznę, bolesność kolana, zmiany zwyrodnieniowe stawu kolanowego, zmiany zwyrodnieniowe lewego łokcia- dysplazję. Konieczna jest operacja. Niestety koszt zabiegu to ponad 4000 zł, co przekracza moje możliwości finansowe. 😭😭😭



Dlatego zwracam się z ogromną prośbą o wsparcie mnie w walce z chorobą Moli. Będę wdzięczna za każdą pomoc. Wierzę w moc zbiórki, gdzie celem jest ratowanie naszych czworonożnych przyjaciół. 🩷
Z góry dziękuję za okazaną pomoc i wsparcie! ❤️

Uważasz, że ta zbiórka zawiera niedozwolone treści ? Napisz do nas


Gdy świat się wali, dajemy nadzieję ❤️ Pomagamy chorym i bezdomnym zwierzętom, ratujemy je w sytuacjach kryzysowych np. w czasie mrozów lub powodzi oraz wspieramy schroniska 🏠🐾
Jak odmienić los tysięcy potrzebujących za darmo?
✅ Wybierz Fundacja Pomagam.pl na liście OPP w rozliczeniu PIT.
✅ Wpisz nasz numer KRS 00 00 353 888 w deklaracji PIT.
Dla Ciebie to rubryka. Dla nich szansa, by przetrwać najgorsze.