




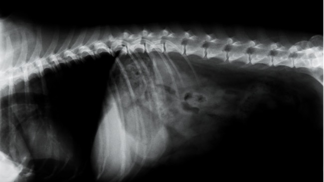
Cześć, nazywam się Milena a to mój piesiek Brokat. Brokat ma 4 lata, niestety przeszedł już 3 operację kręgosłupa w swoim życiu. Leczenie, specjalna karma, operację, rehabilitacja pochłaniają ogromne kwoty co spowodowało zaciągnięcie przeze mnie kredytów na kwotę 65 tys złotych. Brokat ciągle potrzebuje rehabilitacji. 2 razy w tygodniu jeździmy na prądy oraz na bieżnię wodną, a każda wizyta kosztuje mnie 200 zł. Brokat ma problemy z chodzeniem, nie może skakać ani wchodzić po schodach. Boję się ze nie finansowo nie podołam jeśli będzie potrzebna kolejna operacja. Bardzo proszę o najmniejszą kwotę która pomoże poprawić mu standard życia. Dziękuję Milena Jaworek.
Uważasz, że ta zbiórka zawiera niedozwolone treści ? Napisz do nas


Gdy świat się wali, dajemy nadzieję ❤️ Wspieramy chorych w pozyskaniu środków na leczenie, pomagamy zwierzętom i reagujemy natychmiast w pilnych sytuacjach kryzysowych 🚨
Jak odmienić los tysięcy potrzebujących za darmo?
✅ Wybierz Fundacja Pomagam.pl na liście OPP w rozliczeniu PIT.
✅ Wpisz nasz numer KRS 00 00 353 888 w deklaracji PIT.
Dla Ciebie to rubryka. Dla nich szansa, by przetrwać najgorsze.