
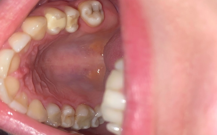
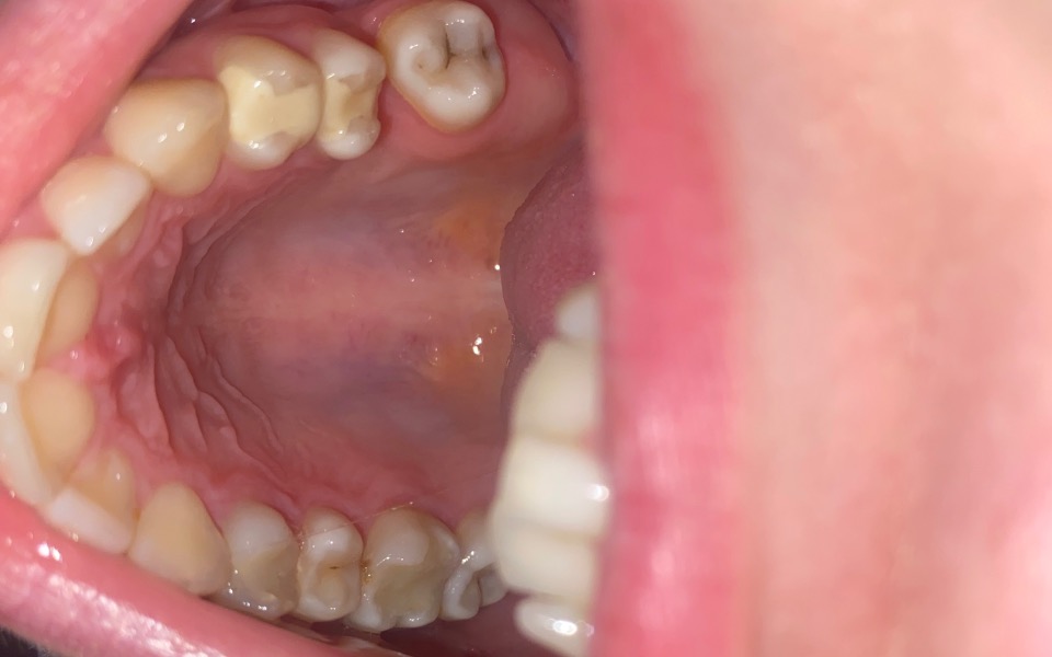
Jestem Natalia, od dzieciństwa mam bardzo krzywe zęby. Przez to że w dzieciństwie wkładałam palce do ust , zęby bardzo mi się wykrzywiły, do takiego stopnia, że mam górne zęby bardzo do przodu, co zwężyło mi szczękę przez co moja żuchwa bardzo się męczy.
Zależy mi na ich leczeniu ponieważ wtedy będę mogła założyć aparat by móc wkońcu uśmiechnąć się.. to jest moje jedyne marzenie.. proszę o Twoją cegiełkę .. będę bardzo wdzięczna!
Uważasz, że ta zbiórka zawiera niedozwolone treści ? Napisz do nas


Gdy świat się wali, dajemy nadzieję ❤️ Wspieramy chorych w pozyskaniu środków na leczenie, pomagamy zwierzętom i reagujemy natychmiast w pilnych sytuacjach kryzysowych 🚨
Jak odmienić los tysięcy potrzebujących za darmo?
✅ Wybierz Fundacja Pomagam.pl na liście OPP w rozliczeniu PIT.
✅ Wpisz nasz numer KRS 00 00 353 888 w deklaracji PIT.
Dla Ciebie to rubryka. Dla nich szansa, by przetrwać najgorsze.