






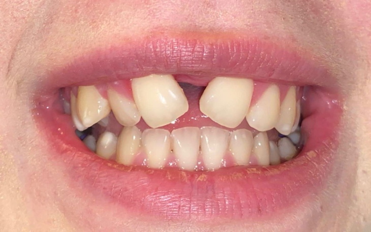
Dzień Dobry, witam was wszystkich serdecznie, nigdy nie sądziłam że, kiedykolwiek będę musiała korzystać z tak dużej pomocy nieznajomych ludzi. Jestem tu aby pomóc swojej młodszej siostrze która ma problemy ze swoim uzębieniem. Zawsze marzyła o pięknym a przede wszystkim zdrowym uśmiechu, od dziecka miała ogromną wadę zgryzu i gdy zaczęliśmy jeździć z nią po lekarzach na konsultacje oraz próby leczenia zębów, niestety każdy nas odsyłał i to były wydawane pieniądze w błoto. Po jakimś czasie w końcu udało się znaleźć lekarza który wiedział co trzeba leczyć i jak aby było coraz lepiej. Siostra przeszła operacje, dystrakcję szczęki którą udało się zrobić na NFZ niestety wszystkie wizyty oraz dodatkowe leczenie zębów jest płatne, włożyliśmy już sporą ilość pieniędzy tuż po operacji bo każda wizyta nas kosztowała. A ja wraz ze swoją rodziną nie mamy tyle pieniędzy, aby kontynuować leczenie siostry uzębienia, gdy tylko lekarz dał kosztorys wszyscy się załamaliśmy ponieważ to jest aż 42 tysiące złotych, pieniądze których nie posiadamy. Teraz 14 lutego 2025 roku ma mieć zakładany aparat ortodontyczny na górę i dół zębów co będzie kosztować 9 tysięcy złotych. Po założeniu aparatów będzie jeszcze więcej dodatkowych kosztów z którymi sobie nie poradzimy😞 Siostra czuje ogromny stres przez tą całą sytuacje i boi się że zostanie już z chorymi zębami które wymagają natychmiastowego leczenia. Byłabym Bardzo Wdzięczna za dosłownie każdy grosz bo zależy mi na siostry dobrym samopoczuciu i zdrowiu jej ząbków.
Twoje słowa mają moc pomagania! Wpłać darowiznę i przekaż kilka słów wsparcia 🤲
Uważasz, że ta zbiórka zawiera niedozwolone treści ? Napisz do nas


Gdy świat się wali, dajemy nadzieję ❤️ Wspieramy chorych w pozyskaniu środków na leczenie, pomagamy zwierzętom i reagujemy natychmiast w pilnych sytuacjach kryzysowych 🚨
Jak odmienić los tysięcy potrzebujących za darmo?
✅ Wybierz Fundacja Pomagam.pl na liście OPP w rozliczeniu PIT.
✅ Wpisz nasz numer KRS 00 00 353 888 w deklaracji PIT.
Dla Ciebie to rubryka. Dla nich szansa, by przetrwać najgorsze.
Misia
Niech się uda :)
Anonimowy Darczyńca
Powodzenia !