
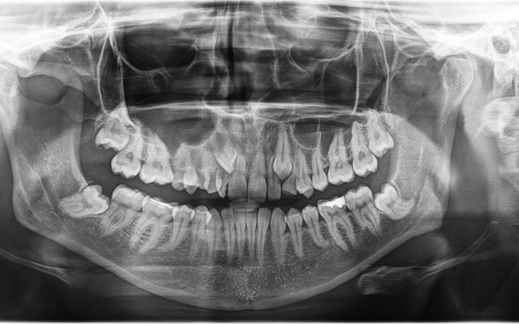
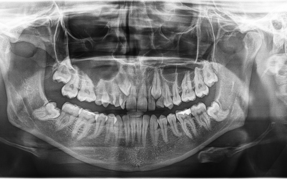
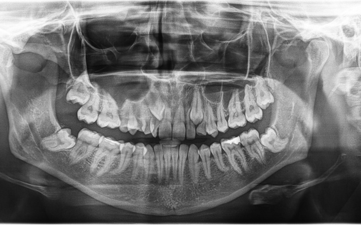
Zbieramy fundusze na leczenie ortodontyczne. Leczenie jest skomplikowane, ponieważ obejmuje usunięcie mlecznych zębów, oraz stałych, zatrzymanych, które powinny wejść w miejsce mlecznych. Dodatkowo czeka nas leczenie zębów, które są w bardzo złym stanie, niektóre patologicznie starte. Potrzebne będzie rownież założenie aparatu ortodontycznego a pózniej wizyty kontrolne.
Proszę każdego kto może o pomoc, ponieważ czeka nas długie, skomplikowane i kosztowne leczenie.
Uważasz, że ta zbiórka zawiera niedozwolone treści ? Napisz do nas


Gdy świat się wali, dajemy nadzieję ❤️ Wspieramy chorych w pozyskaniu środków na leczenie, pomagamy zwierzętom i reagujemy natychmiast w pilnych sytuacjach kryzysowych 🚨
Jak odmienić los tysięcy potrzebujących za darmo?
✅ Wybierz Fundacja Pomagam.pl na liście OPP w rozliczeniu PIT.
✅ Wpisz nasz numer KRS 00 00 353 888 w deklaracji PIT.
Dla Ciebie to rubryka. Dla nich szansa, by przetrwać najgorsze.