
Cześć mam na imię Weronika mam 22 lata i zachorowałam na paradontoze
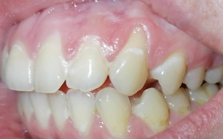
Moja choroba zaczeła sie od zwykłego bólu dziąseł, oczywiście poszłam od razu do dentysty ale w tamtym momencie rosły mi ósemki i lekarz uspokoił mnie ze to z powodu tzw "Zębów mądrości " mogą boleć mnie dziąsła więc uwierzyłam specjaliście.... No ale po 2 msc zobaczyłam ze moje niektóre zęby zaczeły robić sie "Dłuższe" Od razu także zapisałam sie do dentysty... Pani Stomatolog znów uspokoiła mnie ze nie widzi nic niepokojącego (Dziąsła dalej mnie bolały) Także znów jej zaufałam.... i tak żyłam kolejny rok z brakiem świadomości ze to sa początki paradontozy (Nigdy nie slyszałam o takiej chorobie takze tez nie wiedzialam że cos jest nie tak skoro Stomatolog Uspokajał mnie ze nie ma nic niepokojącego w mojej jamie ustnej to uwierzylam bo dlaczego miałabym być Oszukana ? ) Niestety bóle dziąseł jak i wydłużające sie zęby zaczeły mnie coraz bardziej niepokoić Wtedy postanowiłam zmienić Dentystę i jakie było moje zaskoczenie gdy usłyszałam ze mam zapalenie przyzębia i początki paradontozy i wtedy dopiero dowiedziałam sie o tej chorbie.... Po rozmowie z nowym Stomatologiem dowiedziałam sie ze leczenie jest bardzo drogie... i przeszczepy dziaseł, także.. Mozecie sobie wyobrazić jak się wtedy czułam... z myślą ze Inny dentysta zle mnie zdiagnozował... Może gdybym wczesniej wiedziala ze mam ta chorobe moglabym ją zatrzymać na początkowym stadium choroby....
Niestety czasu nie cofnę.... A moje dziasła już nigdy nie będą tak samo zdrowe jak kiedyś... Zwracam się do was z prośbą o pomoc w leczeniu i przeszczepu dziasła na miejsca w któych niestety ich brakuje... Nie jestem w stanie pokryć koszty leczenia są to na prawde duże kwoty dla mnie .... BARDZO PROSZĘ CHOCIAŻ O WPŁACENIE 1 ZŁOTÓWECZKI .... Każdy grosz się dla mnie liczy ... mam dopiero 22 lata a moge stracić uzębienie Nie moge spać po nocach ... Ciągle myśle o tym że nie mam na tyle pieniążków zeby zacząć moje leczenie....Tak na prawde stoje w miejscu bo nie mam możliwości zaczęcia leczenia ...
BARDZO WAS PROSZĘ POMÓŻCIE MI NIE STRACIĆ UŚMIECHU....
DZIĘKUJE ZA KAŻDĄ KWOTE <33
Uważasz, że ta zbiórka zawiera niedozwolone treści ? Napisz do nas


Gdy świat się wali, dajemy nadzieję ❤️ Wspieramy chorych w pozyskaniu środków na leczenie, pomagamy zwierzętom i reagujemy natychmiast w pilnych sytuacjach kryzysowych 🚨
Jak odmienić los tysięcy potrzebujących za darmo?
✅ Wybierz Fundacja Pomagam.pl na liście OPP w rozliczeniu PIT.
✅ Wpisz nasz numer KRS 00 00 353 888 w deklaracji PIT.
Dla Ciebie to rubryka. Dla nich szansa, by przetrwać najgorsze.