
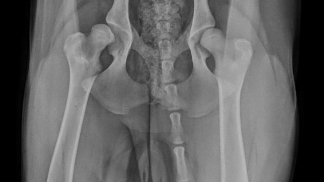
Jestem właścicielem owczarka podhalańskiego 8 miesięcy, ma dysplazję stawów biodrowych,stan bardzo poważny ( zdjęcie z badania i opis badania ortopedy ) rokowania 6 miesięcy do utraty pieska ,a ma dopiero 8 miesięcy, nie jestem w stanie pokryć kosztów leczenia ,(proteza jednego stawu to 5000 euro ).
Proszę pomóżcie uratować naszą dziewczynkę.


Gdy świat się wali, dajemy nadzieję ❤️ Pomagamy chorym i bezdomnym zwierzętom, ratujemy je w sytuacjach kryzysowych np. w czasie mrozów lub powodzi oraz wspieramy schroniska 🏠🐾
Jak odmienić los tysięcy potrzebujących za darmo?
✅ Wybierz Fundacja Pomagam.pl na liście OPP w rozliczeniu PIT.
✅ Wpisz nasz numer KRS 00 00 353 888 w deklaracji PIT.
Dla Ciebie to rubryka. Dla nich szansa, by przetrwać najgorsze.