Artur Andrzej
skan rezonansu magnetycznego


Cześć mam na imię Artur.
Rok temu doznałem urazu kręgosłupa, który był wynikiem trybu i charakteru mojej pracy – wielogodzinnej jazdy samochodem, często po 12 godzin dziennie. Uraz ten wyłączył praktycznie z życia.
Miałem wykupione dodatkowe ubezpieczenie, ale w połączeniu z oszczędnościami wystarczyło ono na krótko.
Ból był nie do zniesienia. Nie mogłem ani chodzić, ani siedzieć, ani stać, ani nawet leżeć. Leki przeciwbólowe pomagały minimalnie. W szpitalu dostawałem zastrzyki przeciwbólowe i przeciwzapalne, ale nie przynosiły one większej ulgi. Lekarz rodzinny przepisała mi też leki przeciwzapalne, przeciwbólowe, ale było to samo też niewielka różnica Przyjmowałem także sterydy (Metypred), ale dopiero masaże i rechabilitacja przyniosły pierwsze efekty.
Dziś jest lepiej – ból wciąż jest, a wzdłuż nogi nadal pojawia się tzw prąd, ale w porównaniu z początkiem to i tak ogromna różnica. Niestety, koszty tego wszystkiego były spore. Gdy skończyły się oszczędności, musiałem sięgnąć po kredyty. Gdybym wrócił do pełnej sprawności po kilku miesiącach, nie byłoby problemu, ale minął rok i nadal nie jestem na nogach. Przez ten czas nie mogłem pracować, co tylko pogorszyło moją sytuację finansową. Zobowiązania zaczęły narastać.
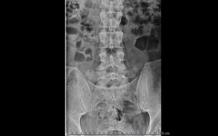
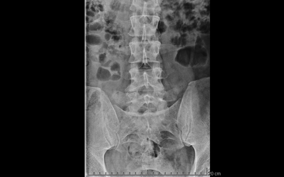
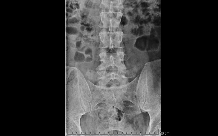
Zdjęcie kręgosłupa, które zamieszczam, jest moje. Opis badania RM oraz sama dokumentacja również należą do mnie.
Dzięki za wszystkie wpłaty i udostępnienia! Każda pomoc ma dla mnie ogromne znaczenie i przybliża mnie do powrotu do normalnego życia. Jestem wdzięczny za każde wsparcie! 🙏💙
Opis RM:
Krążki międzykręgowe z początkowymi cechami dehydratacji
Niewielkie okrężne uwypuklenie krążka międzykręgowego L2-L3
Na poziomie L3-L4 rozluźnienie pierścienia włóknistego krążka międzykręgowego
Na poziomie L4-L5 masywna szerokopodstawna centralno lewoboczna protruzja krążka międzykręgowego modelująca worek oponowy i wypełniająca zachyłek boczny lewy z uciskiem korzeni nerwu L5. Wymiar strzałkowy worka oponowego zmniejszony do 4mm
Na poziomie L5-S1 niewielka szerokopodstawna protruzja krążka międzykręgowego z modelowaniem worka oponowego.
Stożek końcowy rdzenia na poziomie L1
Dyskopatia L4-L5 z uciskiem nerwu korzeni L5 po stronie lewej
Opis RM:
Krążki międzykręgowe z początkowymi cechami dehydratacji
Niewielkie okrężne uwypuklenie krążka międzykręgowego L2-L3
Na poziomie L3-L4 rozluźnienie pierścienia włóknistego krążka międzykręgowego
Na poziomie L4-L5 masywna szerokopodstawna centralno lewoboczna protruzja krążka międzykręgowego modelująca worek oponowy i wypełniająca zachyłek boczny lewy z uciskiem korzeni nerwu L5. Wymiar strzałkowy worka oponowego zmniejszony do 4mm
Na poziomie L5-S1 niewielka szerokopodstawna protruzja krążka międzykręgowego z modelowaniem worka oponowego.
Stożek końcowy rdzenia na poziomie L1
Dyskopatia L4-L5 z uciskiem nerwu korzeni L5 po stronie lewej
skan rezonansu magnetycznego

Uważasz, że ta zbiórka zawiera niedozwolone treści ? Napisz do nas


Gdy świat się wali, dajemy nadzieję ❤️ Wspieramy chorych w pozyskaniu środków na leczenie, pomagamy zwierzętom i reagujemy natychmiast w pilnych sytuacjach kryzysowych 🚨
Jak odmienić los tysięcy potrzebujących za darmo?
✅ Wybierz Fundacja Pomagam.pl na liście OPP w rozliczeniu PIT.
✅ Wpisz nasz numer KRS 00 00 353 888 w deklaracji PIT.
Dla Ciebie to rubryka. Dla nich szansa, by przetrwać najgorsze.