
Chodzi o pomoc w uzupełnieniu i naprawie uzębienia. Tak, może to być i śmieszne i smutne zarazem, że w dzisiejszych czasach można mieć bardzo zniszczone, zepsute zęby, albo nie mieć ich wcale.
Niestety tak też bywa i ja do tej grupy społecznej niestety należę.
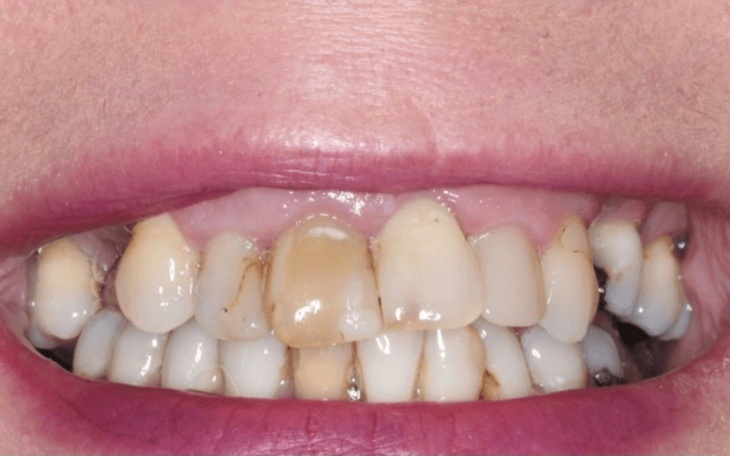
Od dziecka miałam z tym problem, słabe zęby były i są moją zmorą.
Starałam się na bieżąco leczyć , ale kilka lat temu zmieniło się wiele w moim życiu i niestety zaniedbałam leczenie zębów.
zostałam samotną matką, coreczki dom w kredycie i jakby priorytety się zmieniły.
Ale skoro stało się jak się stało, nie trzeba załamywać rąk tylko przeć do przodu.
Lata mijały, córka urosla, kredyt spłacony, ja dalej pozostałam optymistką na 100 procent, moja szklanka jest zawsze do połowy pełna, potrafię się cieszyć z tego co jest, a nie płakać, że czegoś nie mam. Jedynie te nieszczęsne zęby nie pozwalają się uśmiechać tak otwarcie, szczerze.
Mimo, że pracuje całymi dniami to niestety wszystkie środki przeznaczane są na bieżące wydatki. Do tej pory zawsze ważniejsze były dobro córki. I to się nigdy nie zmieni, natomiast chciałabym by nie musieli wstydzić się za mnie.
Chciałabym ponownie móc swobodnie się uśmiechać, nie krępować się, nie zasłaniać ust.
Życie bywa przewrotne, bo nie sądziłam, że moim marzeniem będą sztuczne zęby, a na obecną chwilę to moje jedyne marzenie.
Udostępnij zrzutkę po raz pierwszy!
Uważasz, że ta zbiórka zawiera niedozwolone treści ? Napisz do nas


Gdy świat się wali, dajemy nadzieję ❤️ Wspieramy chorych w pozyskaniu środków na leczenie, pomagamy zwierzętom i reagujemy natychmiast w pilnych sytuacjach kryzysowych 🚨
Jak odmienić los tysięcy potrzebujących za darmo?
✅ Wybierz Fundacja Pomagam.pl na liście OPP w rozliczeniu PIT.
✅ Wpisz nasz numer KRS 00 00 353 888 w deklaracji PIT.
Dla Ciebie to rubryka. Dla nich szansa, by przetrwać najgorsze.