Nigdy nie myślałam, że będę musiała pisać coś takiego. Zawsze to mój tata był osobą, która pomagała innym. Dziś to my prosimy o pomoc dla niego.
23 grudnia 2025 roku wydarzył się wypadek, który w jednej chwili wywrócił nasze życie do góry nogami. Podczas prac przy naprawie ładowarki na tatę spadło ramię ważące około 1,5 tony. Został przygnieciony do konstrukcji maszyny. To cud, że w ogóle przeżył.
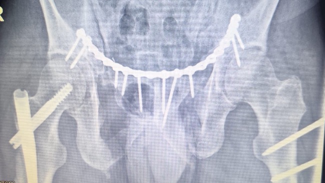
Na miejsce przyleciał śmigłowiec ratunkowy, który zabrał go do szpitala w Olsztynie. Tam rozpoczęła się dramatyczna walka o jego życie. Tata miał zmiażdżone obie nogi, wieloodłamowe złamania obu kości udowych, duży ubytek mięśni i tkanek w lewej nodze, liczne złamania miednicy oraz poważne uszkodzenia narządów wewnętrznych. Lekarze musieli natychmiast operować. Trafił na oddział intensywnej terapii i został wprowadzony w śpiączkę farmakologiczną.
W nocy jego stan nagle się pogorszył. Doszło do zatrzymania krążenia i niewydolności oddechowo-krążeniowej. Konieczna była kolejna operacja ratująca życie. Jego stan był ciężki i niestabilny.
Dopiero po kilku dniach pojawiła się nadzieja i 29 grudnia jego stan się poprawił. Kolejne tygodnie spędził w szpitalu, przechodząc następne operacje i zabiegi. Pojawiły się też powikłania, między innymi zakrzepica, przez którą lekarze musieli wszczepić specjalny filtr przeciwzakrzepowy. Dopiero po opanowaniu stanu zakrzepicy możliwa była operacja stabilizacji miednicy.
Po ponad miesiącu hospitalizacji tata wrócił do domu, ale jego walka wcale się nie skończyła. Do dziś ma w nodze zewnętrzny stabilizator, metalowy stelaż z prętów wychodzących z uda. Nie jest w stanie samodzielnie chodzić ani ustać na nogach. Porusza się na wózku. Przez długie unieruchomienie jego mięśnie bardzo osłabły, a niektóre zanikły.
Lekarze mówią wprost, przed nim bardzo długa i ciężka rehabilitacja. Powrót do sprawności może potrwać nawet około roku, a wszystko zależy od intensywnej i codziennej pracy z rehabilitantem.
Dlatego zdecydowaliśmy się założyć tę zbiórkę. Koszty rehabilitacji, leczenia i sprzętu medycznego znacznie przekraczają nasze możliwości.
Mój tata to człowiek o ogromnym sercu. W naszej okolicy zna go prawie każdy. Zawsze był pierwszą osobą, która pojawiała się, gdy ktoś potrzebował pomocy. Pomagał sąsiadom, angażował się w różne akcje i nigdy nie odmawiał wsparcia. Dziś to on potrzebuje pomocy.
Chcemy zrobić wszystko, żeby znów mógł stanąć na nogi. Każda złotówka, każde udostępnienie i każde dobre słowo ma dla nas ogromne znaczenie.
Z całego serca dziękujemy za każdą pomoc. Cała rodzina Szpanko ❤️



Twoje słowa mają moc pomagania! Wpłać darowiznę i przekaż kilka słów wsparcia 🤲
Uważasz, że ta zbiórka zawiera niedozwolone treści ? Napisz do nas
Gdy świat się wali, dajemy nadzieję ❤️ Wspieramy chorych w pozyskaniu środków na leczenie, pomagamy zwierzętom i reagujemy natychmiast w pilnych sytuacjach kryzysowych 🚨
Jak odmienić los tysięcy potrzebujących za darmo?
✅ Wybierz Fundacja Pomagam.pl na liście OPP w rozliczeniu PIT.
✅ Wpisz nasz numer KRS 00 00 353 888 w deklaracji PIT.
Dla Ciebie to rubryka. Dla nich szansa, by przetrwać najgorsze.
Alicja C.
Zdrówka 🫶🏼
Klaudia
Dużo zdrówka i trzymam kciuki za tatę❤️
Karol
dużo zdrówka dla taty!
Anonimowy Darczyńca
Powodzenia!
AiW Witkiewicz
Życzymy szybkiego powrotu do zdrowia i dużo wytrwałości.