
Witam,
Postanowiłem dodać zbiórkę na tym portalu, aby spełnić moje odwieczne marzenie, które dla wielu jest zapewne czymś normalnym - marzenie o zdrowych, prostych zębach, tak abym nie musiał wstydzić się uśmiechać.
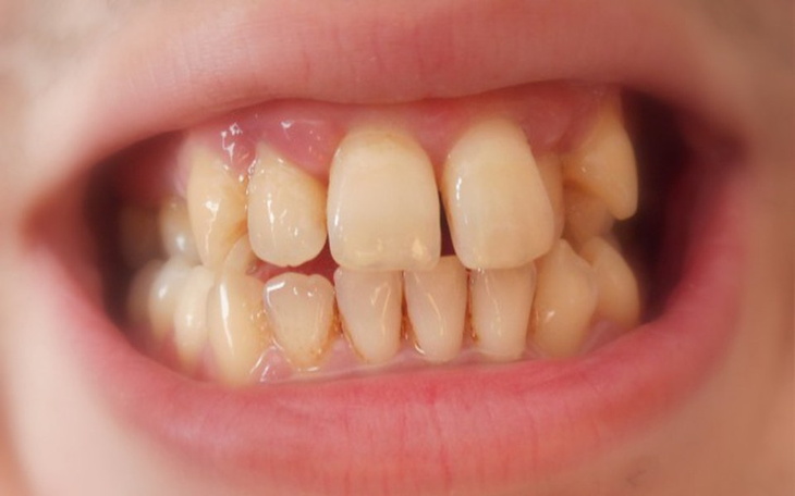
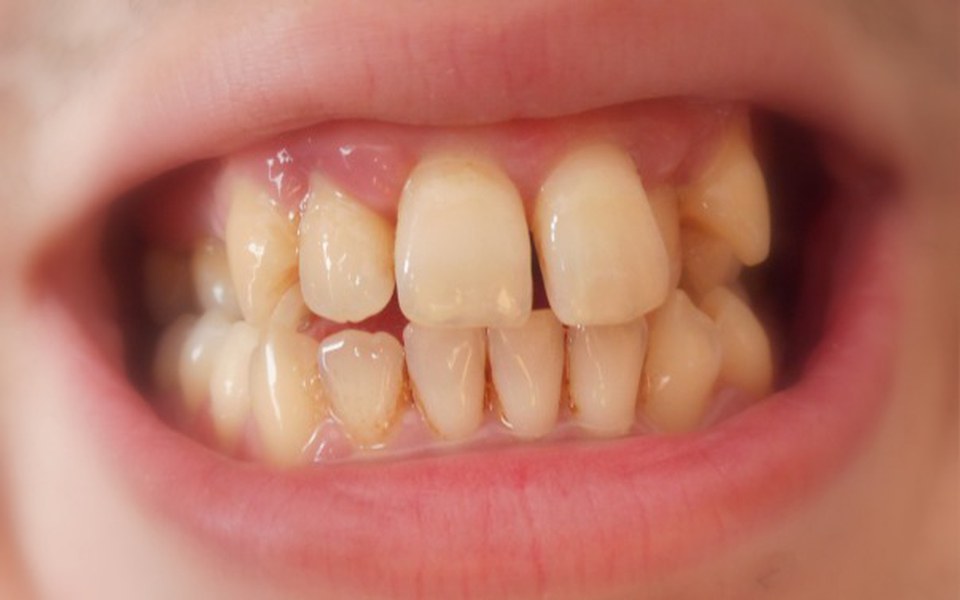
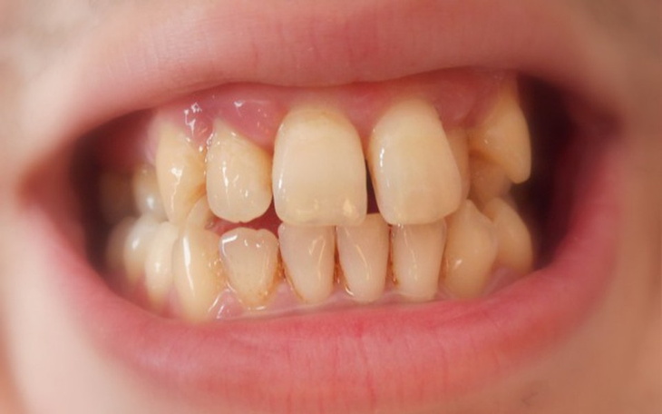
Jak wygląda mój zgryz dobrze widać na zdjęciu, niestety od dziecka zmagam się ze szczęką typu rzymskiego, a więc nadmiernie ściśniętymi, zwężonymi, a dodatkowo nierównymi zębami.
Niedawno byłem z wizytą u dentysty, która zasądziła wyrok - konieczne jest wstawienie aparatu ortodontycznego i wyrwanie zbędnych zębów przeszkadzających innym we wrastaniu.
Konieczne będzie:
* wyrwanie 4 zębów (po jednym z każdej strony),
* nałożenie aparatu na górę i na dół
* prostowanie i szlifowanie zębów, tak aby były one równiejsze
* rekonstrukcja dziąseł, gdyż z niedoboru witamin cofnęły się one dość znacznie
Koszt całości: 9000-10000 złotych, której to sumy nie jestem w stanie nazbierać samodzielnie, jako że jestem osobą pracującą na pół etatu, a funduszy wystarcza jedynie na przeżycie i podstawowe potrzeby.
Jeżeli w Internecie znalazłyby się życzliwe osoby, które chciałyby mi pomóc uśmiechać się szeroko, serdecznie i bez wstydu - będę dozgonnie wdzięczny! Obiecuję, że każda złotówka przeznaczona zostanie na właściwy cel a nie sprzeniewierzona na niepotrzebne głupoty!


Gdy świat się wali, dajemy nadzieję ❤️ Wspieramy chorych w pozyskaniu środków na leczenie, pomagamy zwierzętom i reagujemy natychmiast w pilnych sytuacjach kryzysowych 🚨
Jak odmienić los tysięcy potrzebujących za darmo?
✅ Wybierz Fundacja Pomagam.pl na liście OPP w rozliczeniu PIT.
✅ Wpisz nasz numer KRS 00 00 353 888 w deklaracji PIT.
Dla Ciebie to rubryka. Dla nich szansa, by przetrwać najgorsze.