
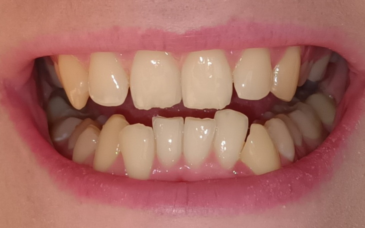
Cześć, założyłam tę zbiórkę, bo już od dawna chciałabym założyć aparat na zęby aby je wyprostować i poczuć się w końcu dobrze ze sobą. Niestety po wizycie kontrolnej i przedstawieniu mi całego planu leczenia okazało się, że leczenie może być kosztowne, ponieważ nie wystarczy tylko założenie aparatu, ale także czterech miktoimplantów, które wspomogą prostowanie zgryzu. Jeden kosztuje 700 zł.
Muszę także wyrwać trzy ósemki, które są zatrzymane, więc zabieg może także być kosztowny i skomplikowany.
Nie tylko mam krzywe zęby ale także ogólnie szczękę. Prościej mówiąc - nie nachodzą na siebie np górna czwórka z dolną tylko czwórka na piątkę itp.
Część kwoty jaką musiałabym przeznaczyć na aparat mam już odłożoną, zostało mi tylko uzbierać na implanty oraz usunięcie ósemek.
Będę wdzięczna za każdy datek ☺️


Gdy świat się wali, dajemy nadzieję ❤️ Wspieramy chorych w pozyskaniu środków na leczenie, pomagamy zwierzętom i reagujemy natychmiast w pilnych sytuacjach kryzysowych 🚨
Jak odmienić los tysięcy potrzebujących za darmo?
✅ Wybierz Fundacja Pomagam.pl na liście OPP w rozliczeniu PIT.
✅ Wpisz nasz numer KRS 00 00 353 888 w deklaracji PIT.
Dla Ciebie to rubryka. Dla nich szansa, by przetrwać najgorsze.