Julia Baranowska
Niestety nie jest dobrze..
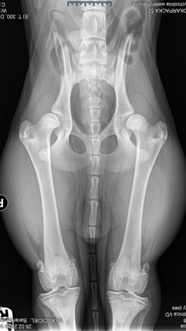
Zachowanie Kokosa nas niepokoiło, było czuć pod dłonią w miejscu opweiwwnym że coś się porusza. Szybkie RTG - złamanie główki kości udowej.. Z niczyjej winy - ryzyko, powikłanie po zabiegu 😭 (miejsce gdzie widoczna jest myszka komputerowa).
Kokos został w szpitalu i miał kolejny zabieg aby złączyć te kości i ostatecznie ma kolejną ranę oraz gips.. Porusza się na 3 łapach, gips uciska mu cewkę moczową co utrudnia oddawanie moczu..
Jest nam bardzo ciężko, staramy się zapewnić mu jak największy komfort bo musi tak być przez następne 3 tygodnie.
Mimo że lecznica wsparła nas jeśli chodzi o zabieg, to koszty leków są bardzo duże i są potrzebne kolejne wizyty kontrolne, zmiany gipsu (gdzie też trzrba zsedować psa)... Dlatego bardzo dziękujemy wszystkim którzy śledzą los naszego Kokosa i dołożyli bądź dołożą każdą złotówkę 🩷
Jak już pozbędziemy się gipsu będzie potrzeba też większej ilości rehabilitacji...
Trzymajcie kciuki 🥺🥺


















Anonimowy Darczyńca
Trzymaj się, Kokosiku! Jesteś wspaniałym pieskiem i masz kochających opiekunów. Na pewno wspólnie dacie radę przejść przez to i będziesz mógł się cieszyć tym, czym każdy piesek cieszyć się powinien! :-) Pani Julio, dużo wytrwałości i siły, bo naprawdę warto! <3
Anonimowy Darczyńca
Trzymam za Ciebie i Twoich rodziców mocno kciuki Kokos, jeszcze na pewno dużo pięknych chwil przed Tobą ❤️
Anonimowy Darczyńca
Trzymam kciuki i przesyłam duuużo pozytywnej energii :)
viking
<3
Oliwka
Bądź dzielny kokos<3333333333