
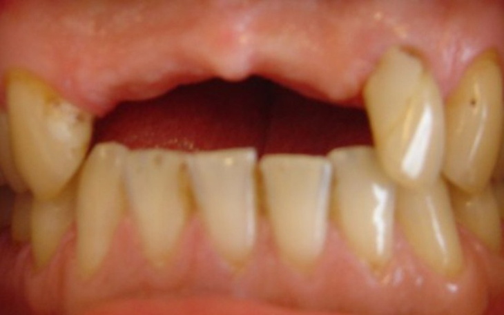
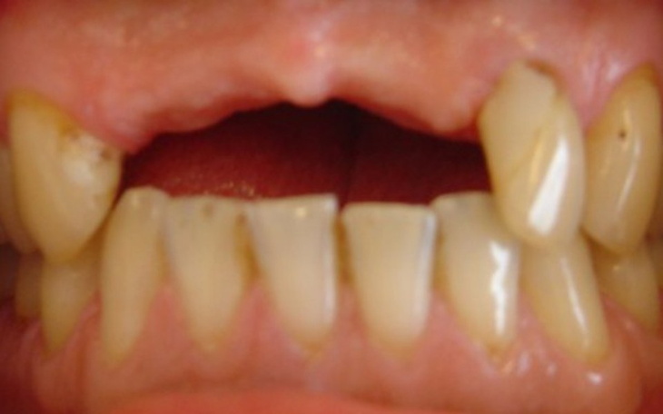
Witam,mam 15 lat.Moja Mama 4 lata temu uległa wypadkowi;podczas zabawy została uderzona w szczękę...przez to w tej chwili ma brak 4 zębów z przodu.Niestety ja jestem niepełnoletnia a mama nie dostaje wystarczająco dużo pieniędzy od Taty by pójść do dentysty i zapłacić za leczenie.Przez brak pieniędzy ma też kilka nie doleczonych zębów które są w złym stanie.
Ponieważ ma brak zębów,przestała się uśmiechać.Przez te dwa lata nigdy się nie uśmiechnęła.
To dość mała kwota jak na leczenie zębów,ale mam nadzieję,że starczy.
Pieniądze uzbierane na tej stronie dam mamie jako prezent,może znowu zacznie się uśmiechać.
PROSZĘ O KAŻDĄ ZŁOTÓWKĘ ,ja jeszcze nie pracuję a bardzo chciałabym jej pomóc.DZIĘKUJĘ W IMIENIU SWOIM I MAMY 💜


Gdy świat się wali, dajemy nadzieję ❤️ Wspieramy chorych w pozyskaniu środków na leczenie, pomagamy zwierzętom i reagujemy natychmiast w pilnych sytuacjach kryzysowych 🚨
Jak odmienić los tysięcy potrzebujących za darmo?
✅ Wybierz Fundacja Pomagam.pl na liście OPP w rozliczeniu PIT.
✅ Wpisz nasz numer KRS 00 00 353 888 w deklaracji PIT.
Dla Ciebie to rubryka. Dla nich szansa, by przetrwać najgorsze.