
Cześć, mam na imię Julia i od roku opiekuję się okolicznymi kotami. Maluch widoczny na zdjęciach to Młody - niespełna roczny kociak, urodzony przez dziką kotkę, którą karmię. Młody był dzikuskiem, który nie dawał nikomu się dotknąć, udało mi się go oswoić dopiero po 3/4 miesiącach. Teraz jest największym przytulasem na świecie i najukochańszym kotem, z jakim miałam styczność. W styczniu został też wykastrowany.
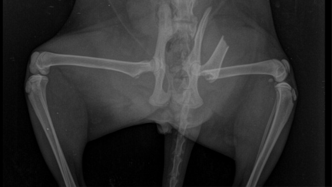
Niestety w zeszłym tygodniu w nocy z piątku na sobotę stała się tragedia... Młodego najprawdopodobniej uderzył samochód. Po wypadku na całe szczęście doczłapał się po schodach na taras mojego domu. O godzinie 6 rano w sobotę wpuściłam kotki do domu, aby je nakarmić. Młody ostatkiem sił wszedł do domu, ale już się więcej nie poruszył. Zobaczyłam wtedy, że obydwie tylne nogi ma z jednej strony i nie może chodzić, piszczał z bólu, jak tylko próbowało się go tam dotknąć. Zaraz w sobotę został przewieziony do weterynarza. W poniedziałek diagnoza - złamanie z przemieszczeniem prawej kości udowej i podejrzenie złamania/zwichnięcia stawu biodrowo-krzyżowego. Niżej zamieszczam zdjęcia z prześwietlenia.


Z racji, że Młody był kotem wolnożyjącym liczyłam się z tym, że Gmina może podjąć decyzję o uśpieniu kotka. Za nic nie mogłam na to pozwolić, nie mogłam zawieść Młodego. W środę był operowany. Operacja się udała. Młody po operacji przebywa u mnie w domu, ma swój pokój, gdzie ma zapewnioną ciszę, ciepło i opiekę. Na zdjęciach widać zamontowany stabilizator zewnętrzny.


Poniżej zamieszczam fakturę otrzymaną od weterynarza. Faktura za operację wyniosła 2129 zł.

Ja i Młody będziemy wdzięczni za każdą pomoc finansową, która pomoże w spłaceniu zadłużenia.
______________
EDIT:
Kilka dni po pierwszej operacji, tj. w niedzielę 23 lutego Młody zaczął wieczorem bardzo ciężko oddychać.
Jeszcze w tę samą niedzielę pojechałam z nim do weterynarza, otrzymał wtedy zastrzyk.
Od poniedziałku 24 lutego jeździłam z Młodym do jego weterynarza. Po diagnostyce, podawaniu leków i codziennym monitorowaniu kota okazało się w czwartek 27 lutego, że u Młodego w wyniku wypadku samochodowego wyszła przepuklina przeponowa, przez którą do klatki piersiowej dostały się narządy wewnętrzne. Stąd jego problemy oddechowe i niechęć do jedzenia oraz brak energii - do klatki piersiowej przeszedł kawałek trzustki, śledziony i żołądka.
Decyzja o kolejnej operacji była natychmiastowa. Druga operacja odbyła się 5 marca. Była niezbędna, aby Młody mógł wrócić do normalnego funkcjonowania.
Zbiórkę edytowałam dopiero po prawie 3 tygodniach od operacji, ponieważ teraz mam już pewność, że z kociakiem jest wszystko dobrze. Wraca do formy sprzed wypadku - ma apetyt, mnóstwo enegii, a rany wygoiły się bardzo ładnie.
Młody dostał nowe życie, został uratowany.
Będę wdzięczna za wsparcie finansowe. Zbiórkę zwiększyłam wyłącznie o kwotę drugiej operacji.
Poniżej zamieszczam fakturę, kartę przebiegu operacji oraz zdjęcia Młodego zaraz po operacji i aktualne.




Twoje słowa mają moc pomagania! Wpłać darowiznę i przekaż kilka słów wsparcia 🤲
Uważasz, że ta zbiórka zawiera niedozwolone treści ? Napisz do nas


Gdy świat się wali, dajemy nadzieję ❤️ Pomagamy chorym i bezdomnym zwierzętom, ratujemy je w sytuacjach kryzysowych np. w czasie mrozów lub powodzi oraz wspieramy schroniska 🏠🐾
Jak odmienić los tysięcy potrzebujących za darmo?
✅ Wybierz Fundacja Pomagam.pl na liście OPP w rozliczeniu PIT.
✅ Wpisz nasz numer KRS 00 00 353 888 w deklaracji PIT.
Dla Ciebie to rubryka. Dla nich szansa, by przetrwać najgorsze.
Anonimowy Darczyńca
Dużo zdrówka dla młodego! 🫶🏻🥹
Martyna
Proszę uściskać Młodego ode mnie! Dużo zdrowia i siły dla kociaka i jego aktualnej rodziny!
Kinga
Zdrówka dla kociaka, trzymam kciuki za niego!
Agnieszka
Zdrowia dla kici❤️
Patryk Surma
Zdrówka !!!!!! ;)