Bartosz Sid
Bardzo proszę o pomoc liczę ze kiedys się uśmiechnę

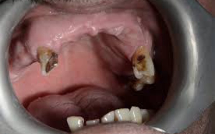
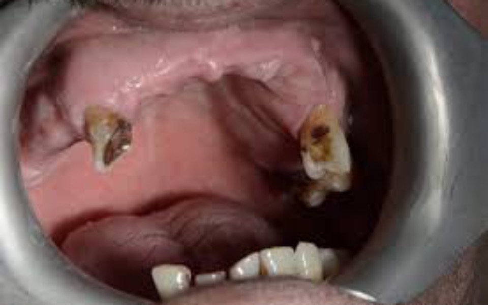
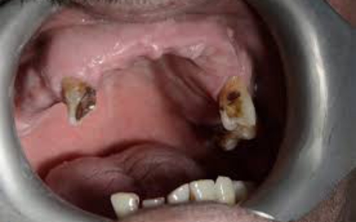
Zbieram na zeby na piękny nowy uśmiech miałem sztuczna protezę ale niestety dentysta zle ja dorobił i mi wadzi sam nie jestem w stanie sfinansować tego a chciałbym się jeszcze normalnie uśmiechać dziękuje
Bardzo proszę o pomoc liczę ze kiedys się uśmiechnę


Gdy świat się wali, dajemy nadzieję ❤️ Wspieramy chorych w pozyskaniu środków na leczenie, pomagamy zwierzętom i reagujemy natychmiast w pilnych sytuacjach kryzysowych 🚨
Jak odmienić los tysięcy potrzebujących za darmo?
✅ Wybierz Fundacja Pomagam.pl na liście OPP w rozliczeniu PIT.
✅ Wpisz nasz numer KRS 00 00 353 888 w deklaracji PIT.
Dla Ciebie to rubryka. Dla nich szansa, by przetrwać najgorsze.