
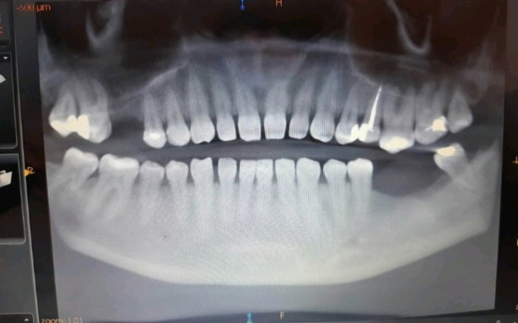
Hej jestem Olga. Mam 30 lat. 3 lata temu zaczal boleć mnie ząb, okazało się że w zębie który był zaplombowany 13 lat temu jest wiertło (stomatolog przy leczeniu nie poinformował że złamało się wiertło tylko zaplombował ząb). Ząb oczywiście chciałam ratować... długie leczenie kanałowe pod mikroskopem i próba wyciagniecia wiertła. Po długim leczeniu i wyciągnięciu wiertła zrobił się okropny stan zapalny. Pani stomatolog powiedziała że już nic nie jest w stanie zrobić. Ząb musiałam wyrwać. 2500 zł kosztowało mnie leczenie tego zęba który bankowiec musiałam wyrwać. Kolejny ząb stan zapalny okazało się że kanał nie był do końca wypełniony. Konieczność wydania kolejnego zęba. Myślałam że dam radę tak chodzić z brakiem tych zębów bo nie stać mnie na implanty. Żuchwa zaczęła boleć... po kilku latach widzę że żeby górny odsłonił szyjki i te zęby się wydlużyły w kierunku tych ubytków. Sąsiadujące zęby zaczęły się wykrzywiac też w kierunku tych pustych miejsc. Kość żuchwy w tym pustym miejscu zniknęła zrobiła się dosłownie dziura. Dziąsła sąsiadujących zębów też mają odsłonięte szyjki. I najgorsze co może w tym być asymetria twarzy przez te ubytki ponieważ mięsień policzka zanikł. To mnie najbardziej przytłacza. Wygląd 10 lat starszy... worki pod oczami opadnięty policzek i opadnięty kącik ust. Opadnięta powieka... Nie wystarcza same implanty muszę zrobić też argumentację kośći żuchwy ponieważ z 1 strony zaniknęła. Bardzo proszę o pomoc. Pomoże mi to. 


Gdy świat się wali, dajemy nadzieję ❤️ Wspieramy chorych w pozyskaniu środków na leczenie, pomagamy zwierzętom i reagujemy natychmiast w pilnych sytuacjach kryzysowych 🚨
Jak odmienić los tysięcy potrzebujących za darmo?
✅ Wybierz Fundacja Pomagam.pl na liście OPP w rozliczeniu PIT.
✅ Wpisz nasz numer KRS 00 00 353 888 w deklaracji PIT.
Dla Ciebie to rubryka. Dla nich szansa, by przetrwać najgorsze.