
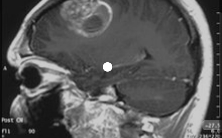
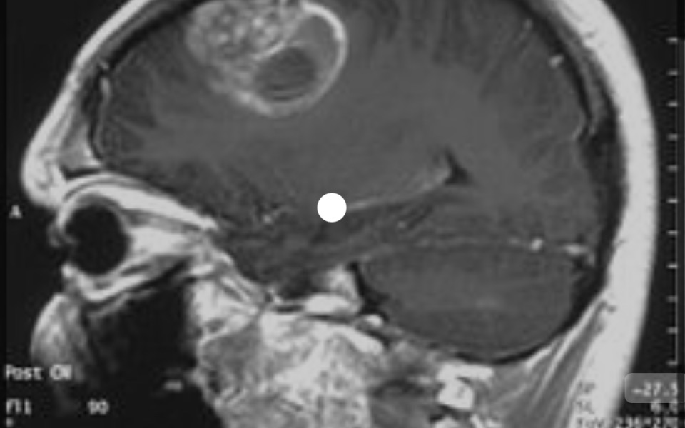
Mam na imię Patrycja, mam 29lat. Nigdy nie spodziewałam się, że będę musiała prosić Was o pomoc... Zawsze to ja pomagałam innym dziś niestety jest inaczej i to ja proszę o pomoc was. Nigdy nie wiemy, co przyniesie życie. A mi przyniosło brutalną wiadomość odnośnie zdrowia mojego Tatusia ... Od paru miesięcy Tata Walczy ze złośliwym guzem mózgu, który zajął już większą część lewej półkuli i dalej szybko rośnie! Tylko nierefundowana operacja może uratować mu życie!
Przez całe życie Tata był dla mnie bohaterem i wzorem do naśladowania. Dziś w wieku 51 lat ten bohater zaczął przegrywać walkę. Stan zdrowia bardzo się pogorszył mam zaledwie pare dni uzbieranie brakującej części pieniędzy potrzebnych na operacje. Bardzo proszę o pomoc.
Uważasz, że ta zbiórka zawiera niedozwolone treści ? Napisz do nas


Gdy świat się wali, dajemy nadzieję ❤️ Wspieramy chorych w pozyskaniu środków na leczenie, pomagamy zwierzętom i reagujemy natychmiast w pilnych sytuacjach kryzysowych 🚨
Jak odmienić los tysięcy potrzebujących za darmo?
✅ Wybierz Fundacja Pomagam.pl na liście OPP w rozliczeniu PIT.
✅ Wpisz nasz numer KRS 00 00 353 888 w deklaracji PIT.
Dla Ciebie to rubryka. Dla nich szansa, by przetrwać najgorsze.