

Witam Cię na zbiórce,która może uratować mojego psa!
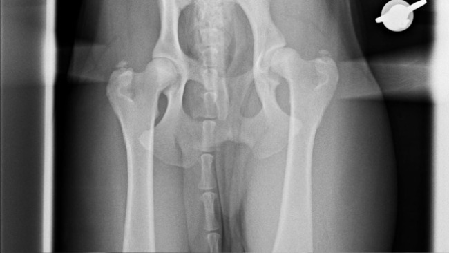
Mój pies ma poważne problemy zdrowotne. Niestety ma on dysplazję stawu biodrowego. Ma bardzo duże problemy z żołądkiem,częste biegunki oraz zdarzają się wymioty oraz dziwny kaszel. Mój pies jest dla mnie bardzo ważny, ponieważ pomaga mi w moich codziennych problemach oraz pomaga mi, kiedy mam ataki paniki. Cierpię na zaburzenie osobowości borderline zaburzenia lękowe, depresje, nerwice lękową, zaburzenia odżywiania oraz aburzenia kontrolowania impulsów. Baks jest ze mną codziennie ,również śpi ze mną dlatego tak bardzo ważne jest dla mnie to, aby wszystko było u niego w porządku. Niestety od jakiegoś czasu mamy z nią coraz więcej problemów. Wydaliśmy już naprawdę dużo pieniędzy na badania, jednak już nie mamy z czego wziąść. Bardzo zależy mi na tym, aby uzbierać sumę wystarczającą na dojechanie do gastrologa, aby zrobić gastroskopię, kolonoskopię, aby zrobić kolejny rentgen stawu biodrowego, aby w razie czego opłacić chociaż połowę operacji.


Gdy świat się wali, dajemy nadzieję ❤️ Pomagamy chorym i bezdomnym zwierzętom, ratujemy je w sytuacjach kryzysowych np. w czasie mrozów lub powodzi oraz wspieramy schroniska 🏠🐾
Jak odmienić los tysięcy potrzebujących za darmo?
✅ Wybierz Fundacja Pomagam.pl na liście OPP w rozliczeniu PIT.
✅ Wpisz nasz numer KRS 00 00 353 888 w deklaracji PIT.
Dla Ciebie to rubryka. Dla nich szansa, by przetrwać najgorsze.