
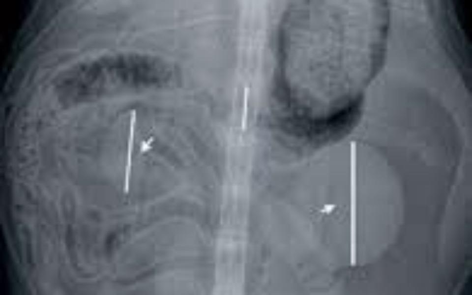
Witacie kochani mam na imię Zuma urodziłam sie w Maju 2023 roku i mam rok i 8 miesięcy Jestem amstaffem i z moimi wlascielami jestem od lipca 2023 roku . Bardzo ich kocham oraz kocham chodzić z nimi ma spacery . Wszyscy się mnie boją a prawda jest taka że nie potrafię skrzywdzić muchy . Niestety ostatnio zaczęłam bardzo chorować i lekarz stwierdził u mnie niestety wrodzoną wadę serca a dokładnie to zweżenie zastawki płucnej oraz moje jedna nerka jest większa od drugiej co zagraża mojemu zyciu i wiąże się z kosztownym leczeniem , na które niestety nie stać do końca moich właścicieli którzy robią wszystko co się da abym wróciła do pełnej aktywności . Bardzo chce wrócić do pełnej aktywności i proszę ludzi dobrego serca o pomoc w moim leczeniu i odzyskaniu pełnej sprawności. Pieniążki że zbiórki zostaną przekazane na moje dalsze leczenie oraz leki które pomogą mi wrócić do zdrowia .
Uważasz, że ta zbiórka zawiera niedozwolone treści ? Napisz do nas


Gdy świat się wali, dajemy nadzieję ❤️ Pomagamy chorym i bezdomnym zwierzętom, ratujemy je w sytuacjach kryzysowych np. w czasie mrozów lub powodzi oraz wspieramy schroniska 🏠🐾
Jak odmienić los tysięcy potrzebujących za darmo?
✅ Wybierz Fundacja Pomagam.pl na liście OPP w rozliczeniu PIT.
✅ Wpisz nasz numer KRS 00 00 353 888 w deklaracji PIT.
Dla Ciebie to rubryka. Dla nich szansa, by przetrwać najgorsze.