
Witam wszystkich ludzi z dobrym sercem.
Jestem ojcem 16 letniego nastolatka o imieniu Maciek.
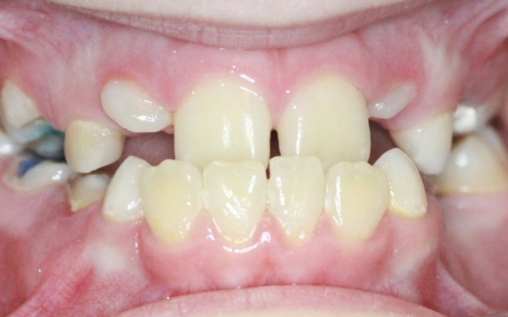
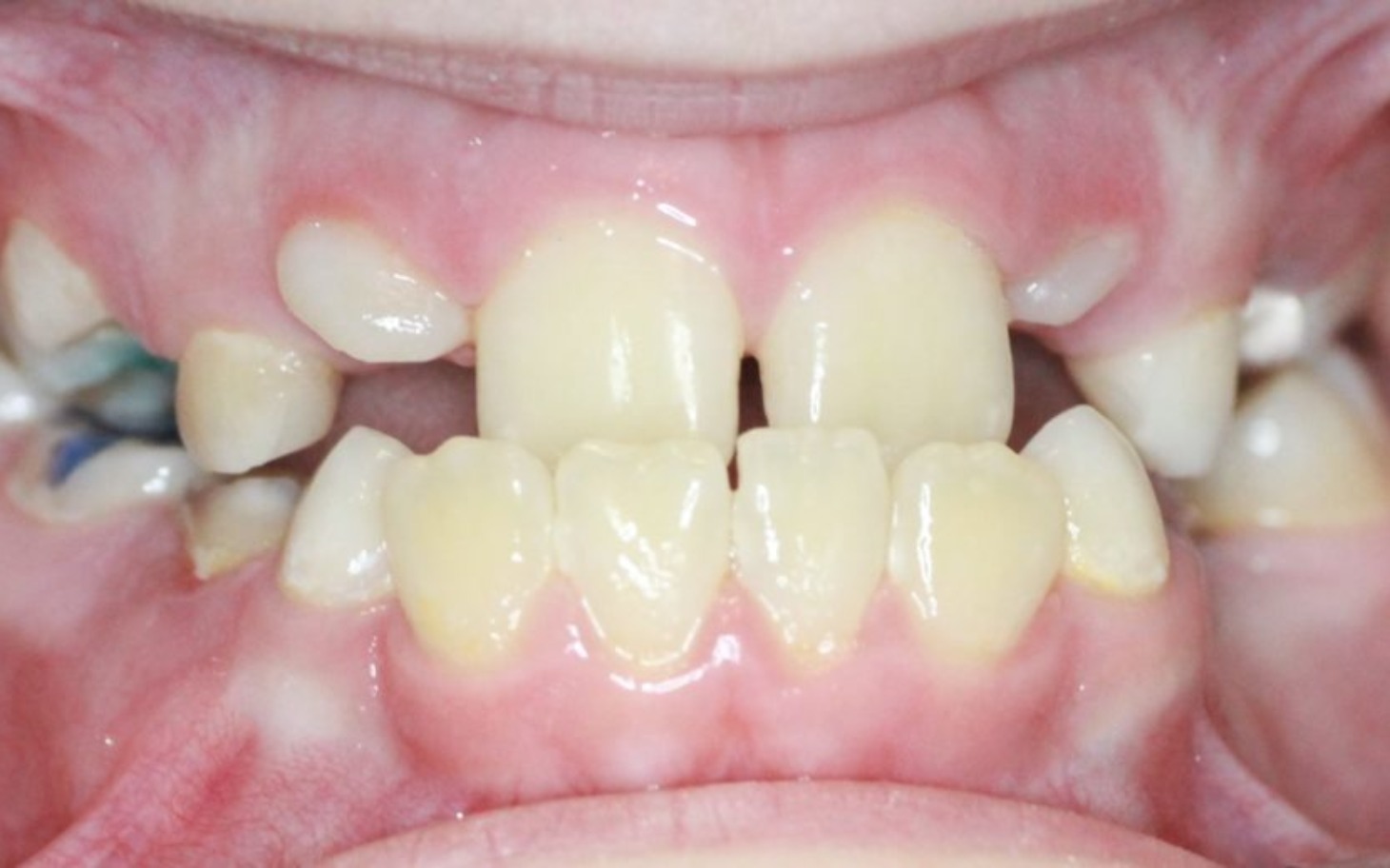
Syn jest dzieckiem grzecznym , nigdy nie było z nim problemów. Dobre oceny w szkole , wzorowe zachowanie , w domu opiekuje się młodszym rodzeństwem, pomaga w obowiązkach domowych . Jedynym mankamentem jest to że urodził się z wada zgryzu co widać na pierwszy rzut oka , dlatego jest wstydliwy , skryty i większość czasu spędza w domu ponieważ wstydzi się szyderstw że strony rówieśników. Mnie nie stać na dzień dzisiejszy wyłożyć 2000 zł na aparat ortodontyczny ponieważ wychowuje 3 dzieci sam . Błagam ludzi o dobrym sercu pomóżcie bo jako tata nie mogę patrzeć jak moje dziecko izoluje się w domu że względu na zgryz ( a przecież to nie jego wina że taki się urodził) . Chciałbym aby wyszedł do kolegów, poznał dziewczynę, żeby wgl zobaczyć uśmiech na jego twarzy ponieważ teraz się nie uśmiecha że wstydu nawet w domu się krępuje. Błagam pomóżcie
Uważasz, że ta zbiórka zawiera niedozwolone treści ? Napisz do nas


Gdy świat się wali, dajemy nadzieję ❤️ Wspieramy chorych w pozyskaniu środków na leczenie, pomagamy zwierzętom i reagujemy natychmiast w pilnych sytuacjach kryzysowych 🚨
Jak odmienić los tysięcy potrzebujących za darmo?
✅ Wybierz Fundacja Pomagam.pl na liście OPP w rozliczeniu PIT.
✅ Wpisz nasz numer KRS 00 00 353 888 w deklaracji PIT.
Dla Ciebie to rubryka. Dla nich szansa, by przetrwać najgorsze.