
Cześć wszystkim, jestem Aga. Od wielu lat prowadzę hodowlę kotów tonkijskich AGATONKA*PL. Ostatni czas był dla mnie trudny w hodowaniu, przez ostatnie 4 lata przeszłam z moimi kotami przez kosztowne leczenia, a brak kociaków sprawił, że hodowla generowała dużo kosztów, z którymi sobie radziłam, aż w tamtym roku po 3 latach starania moja kotka urodziła miot obciążony genetycznie, z którego urodziły się 3 martwe kocięta, jeden zdrowy kociak Ignaś i Imbir, który jak się później okazało ma wrodzone wodogłowie.

Diagnoza Imbira była dla mnie ciosem, gdyż stanęłam przed decyzją humanitarnego uśpienia go, ale nie mogłam takiej decyzji podjąć i nigdy bym sobie tego nie wybaczyła, dlatego pojechałam do kliniki Neuroteam we Wrocławiu, gdzie Imbirek przeszedł pełną diagnostykę. Wskazaniem po badaniach było rozważenie zabiegu implantacji zastawki komorowo-otrzewnowej, Imbir miał wtedy 2 tygodnie. I wtedy powiedziałam sobie, że jeśli dożyje 3 miesięcy, to zdecyduję się na zabieg.

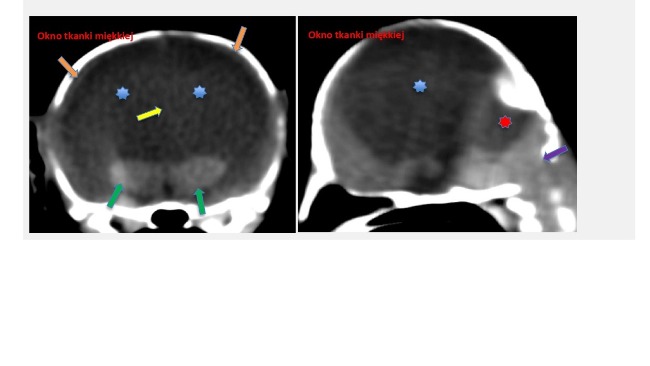
Poniżej opis tomografii komputerowej.





Przez ten czas Imbir dostawał leki obniżające ciśnienie wewnątrzczaszkowe, ale potem mieliśmy 3 załamania, wymagające wyjazdów do kliniki, zmiany dawki leków i kolejnych konsultacji. Imbirek chudł, przybierał na wadze, słabł, z trudnością dźwigał swoją wielką główkę, ale później było coraz lepiej. Imbirek również toczył i dalej toczy walkę ze swoim ciałem, które go nie słucha. Cały jego rozwój jest sporo opóźniony, ale z tygodnia na tydzień robi postępy. Umysłowo jest super, reaguje na swoje imię, bawi się zabawkami, jest niesamowitym żarłokiem i niezwykłym tulasem.
Gdy już jako tako było wszystko ok, to pojawił się kolejny problem z zawijającymi się powiekami, które zaczęły uszkadzać mu rogówkę. Pojechaliśmy na konsultację do kliniki Optovet we Wrocławiu, po konsultacji zapadła decyzja o zabiegu iniekcji kwasem hialuronowym. Koszt zabiegu 1 200,00 zł plus dojazdy, badania do zabiegu i 2 konsultacje..



Zabieg się udał, Imbiś ma teraz najpiękniejsze oczka na świecie. Efekt działania kwasu ma się utrzymywać do 9 miesięcy.

Niestety, żeby było jeszcze trudniej, po zabiegu powiek Imbira, moja 16-letnia kotka Heidi rozchorowała się, mimo intensywnego leczenia i hospitalizacji, nie udało sie jej uratować. Odeszła na moich rękach otoczona miłością i całym naszym stadem...

8 marca pojechaliśmy na kolejne TK głowy i kontrolę w klinice. Imbiś waży 2,5 kilo. 21 marca miał badane serduszko, które na szczęście bije mocno i jest prawidłowo rozwinięte, bez wad.
Podsumowując - dostaliśmy zielone światło na przeprowadzenie operacji.

Operacja odbędzie się 3 kwietnia 2025 roku w klinice Neuroteam.
Koszt operacji - 10.000-13.000 PLN.
Założyłam tę zrzutkę, by choć trochę dozbierać i mieć "trochę" lżej, bo ostanie miesiące mnie dobiły finansowo, a po operacji ta nasza walka się nie skończy..
Tak bardzo pragnę, żeby Imbiś żył i żeby zaczął sprawne życie. Chciałabym, aby zaczął skakać na wysokości, żeby nauczył się myć, bo wszelkie próby kończą się wywrotką...ciężko na to się patrzy.. a ja ciągle go ratuję od upadku....
Oczywiście zostaje ze mną, tak jak wszystkie kotki hodowlane mają u mnie dożywocie. Nie chce już mu nic zmieniać, ma swoją mamę, ciotkę, wujka Józia..
To co nie dozbieram, to pożyczę.. ale wiem, że jak będzie już u mnie lepiej, to te pieniądze przekażę dalej na inne koty potrzebujące pomocy...naprawdę...
Z góry dziękuję za pomoc finansową... myślcie o nas ciepło 3 kwietnia...operacja jest ryzykowna.. ale nie ma wyjścia, leki które teraz dostają obciążają mu nerki, także nie może ich brać długo..
Żeby uchwycić jego wyjątkowość, powstały te piękne zdjęcia poniżej, wiem, że on mi się trafił nieprzypadkowo i mam plan, by tę jego chorobę zamienić na coś dobrego, także dla innych kotów...Imbiś ma na nich 4 miesiące..



Twoje słowa mają moc pomagania! Wpłać darowiznę i przekaż kilka słów wsparcia 🤲
Uważasz, że ta zbiórka zawiera niedozwolone treści ? Napisz do nas


Gdy świat się wali, dajemy nadzieję ❤️ Pomagamy chorym i bezdomnym zwierzętom, ratujemy je w sytuacjach kryzysowych np. w czasie mrozów lub powodzi oraz wspieramy schroniska 🏠🐾
Jak odmienić los tysięcy potrzebujących za darmo?
✅ Wybierz Fundacja Pomagam.pl na liście OPP w rozliczeniu PIT.
✅ Wpisz nasz numer KRS 00 00 353 888 w deklaracji PIT.
Dla Ciebie to rubryka. Dla nich szansa, by przetrwać najgorsze.
kotek.mirek
Imbirku trzymamy kciuki!!!
Magda
Trzymam kciuki za operację. Musi być dobrze a kociak cudny 🥰
Aneta K.
Dużo zdrówka dla koteczka🥰. Trzymam kciuki.Powodzenia😘
Sylwia Gajewska
Trzymam mocno kciuki za udaną operację Imbirka!❤️
od Toneczki Misi
dzielny chłopak jesteś, dacie radę!