
Potrącony przez samochód i pozostawiony na mrozie Jamal walczy o życie i sprawność!
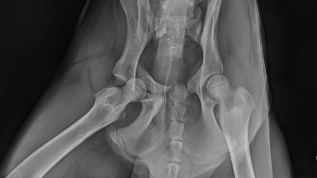
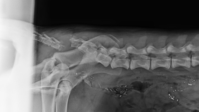
16 stycznia otrzymaliśmy zgłoszenie o potrąconym owczarku niemieckim leżącym na drodze w jednej z okolicznych wsi. Sprawca potrącenia odjechał z miejsca wypadku nie udzielając zwierzęciu pomocy. Dopiero inny kierowca, zauważywszy psa, zatrzymał się i zadzwonił do nas. Ruszyliśmy natychmiast nie wiedząc, w jakim stanie jest pies, ile bólu już zniósł i czy zdążymy na czas. Na miejscu naszym oczom ukazał się, leżący na poboczu drogi, piękny, młody psiak. Jamal cierpiał w milczeniu, ale wykonane w lecznicy zdjęcie RTG nie pozostawiło złudzeń — złamana kość biodrowa, kość łonowa, a do tego poważne uszkodzenie ogona.


Każdy ruch musiał sprawiać mu ogromny ból. Jamal dostał leki przeciwbólowe i antybiotyki, ale było jasne, że to dopiero początek długiej walki. Po konsultacji z lekarzami zapadła decyzja: operacja jest jedyną szansą, aby Jamal mógł znów chodzić i żyć bez bólu.

Zabieg odbył się 20 stycznia 2026 roku. Niestety, mimo starań lekarzy, ogona nie udało się uratować Psiak spędził noc w klinice. Teraz Jamal jest już pod naszą troskliwą opieką, ale przed nim długie tygodnie rekonwalescencji, rehabilitacji i specjalistycznego leczenia. To wszystko jest konieczne, aby mógł odzyskać sprawność i nadzieję na normalne życie.

Koszty są ogromne — badania, operacja, leki i rehabilitacja mogą wynieść nawet 5000 zł. Dla nas to kwota, której sami nie jesteśmy w stanie udźwignąć. Błagamy Was o pomoc. Każda złotówka, każde udostępnienie, każde dobre słowo ma ogromne znaczenie. Razem możemy sprawić, że Jamal nie będzie już cierpiał i dostanie szansę na życie, na jakie zasługuje.

Dziękujemy z całego serca za każdą formę wsparcia <3 .
Uważasz, że ta zbiórka zawiera niedozwolone treści ? Napisz do nas


Gdy świat się wali, dajemy nadzieję ❤️ Pomagamy chorym i bezdomnym zwierzętom, ratujemy je w sytuacjach kryzysowych np. w czasie mrozów lub powodzi oraz wspieramy schroniska 🏠🐾
Jak odmienić los tysięcy potrzebujących za darmo?
✅ Wybierz Fundacja Pomagam.pl na liście OPP w rozliczeniu PIT.
✅ Wpisz nasz numer KRS 00 00 353 888 w deklaracji PIT.
Dla Ciebie to rubryka. Dla nich szansa, by przetrwać najgorsze.