Kamil Witkowski
Kolejne zdjęcie.

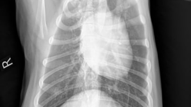
Witam jestem właścicielem suczki o imieniu "Kora". Zbieram pieniądze na operacje dla niej, ponieważ dzisiaj rano (29.01.22) Suczka została potrącona przez samochód i przez to ma problem z kręgosłupem i płucami. Koszt operacji to 4,5 Tysiąca złotych. Piesek ma 3 lata i jest nam bliski, ma jeszcze dużo życia przed sobą... Każda złotówka się liczy. Zdjęcie poniżej. + 1,500 Pobyt w klinice 3 doby.

Kolejne zdjęcie.

Twoje słowa mają moc pomagania! Wpłać darowiznę i przekaż kilka słów wsparcia 🤲
Uważasz, że ta zbiórka zawiera niedozwolone treści ? Napisz do nas
Załóż darmową zbiórkę pieniędzy dla siebie, swoich bliskich lub potrzebujących!
Wiktoria Zalbert
Może to nie jest wiele, ale wiem co to znaczy stracić swojego 4 nożnego przyjaciela.
Natalia czernik
Dorzucam, niewiele co prawda, ale zawsze coś. Trzymam kciuki, żeby piesiek wyzdrowiał
jola
Dużo zdrówka 🥺🥺
Ivonciak
Nie dużo, ale dorzucam cegiełkę :)
Anonimowy Darczyńca
Trzymam kciuki by psinka wróciła do zdrowia! 🖤