
Помогите мне вернуться к нормальной жизни после несчастного случая.
3 октября 2024 года в 6:30 утра меня на высокой скорости сбила машина на пешеходном переходе.
Я получил серьезные травмы:
полностью сломаны лицевые кости,
выбиты все верхние зубы и некоторые нижние,
сломаны ребра,
повреждено легкое,
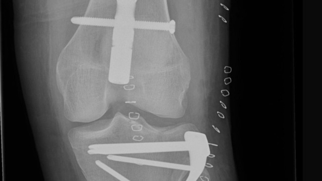
сломаны кости под глазами, сломан затылок,
сломана левая нога и повреждены мышцы колена,
разорваны связки правой ноги и
сломан таз.
После выписки из больницы я долгое время не мог передвигаться самостоятельно. Впереди еще много этапов лечения, операций и реабилитации.
Следующий этап лечения — стоматологическая реконструкция.
Вместо очень дорогих имплантатов мне предложили более дешевый вариант — протезы для верхней и нижней челюстей.
Однако, прежде чем их можно будет установить, необходима операция по удалению титановых пластин с лица, которые были имплантированы после аварии. Стоматологическое лечение не может начаться без этой операции.
Стоимость только стоматологического лечения составляет от 50 000 до 55 000 злотых.
Стоимость операции по удалению титановых протезов в настоящее время определяется.
Это лишь один из многих сложных этапов на пути к моему выздоровлению.
Я обращаюсь ко всем, кто может и хочет меня поддержать.
Каждое пожертвование — даже самое маленькое — это шаг к жизни, свободной от боли, стыда и страданий.
Спасибо всем, кто прочитал эти слова и не остался равнодушным.
С благодарностью, Яна
UA---
Помощь мужчинам в выздоровлении
2024 год в 6:30 Я еду на следующий большой день збив автомобіль.
Я снимала тяжелые травмы:
возникновение травм лицевых кисток,
выбитие всех верхних зубов и части нижних,
травмы тела,
повреждение легких,
перелом костей под очимом и тройство в потличных частях черепа,
перелом левых ног и повреждение колыханий,
разрив зв'язок правой ноги,
перелом тазу.
После посещения клиники я долгое время не мог самостоятельно рухать. Раньше было много этапов лечения, операций и реабилитации.
Следующий этап — открытие зубов.
Замість дорогих имплантатов предложили доступный вариант - установление мостов на верхнюю и нижнюю щепу.
Отныне, отныне, отныне титановые пластины с обличьем, которые были бы установлены после аварии. Без этой операции востановление мостов невозможно.
Стоимость стоматологической помощи – от 50 до 55 тысяч злотых.
Несколько красивых операций с появлением титана — нарази уточнены.
Это только один из больших складных кроков на шляху до моего открытия.
Я широки прошу про подтримку каждого, что может помочь.
Будь-яка допомога - це крок до того, щоб я снова мог посмихатися, сказать и жить без боли.
Щиро дякую всем небайдужим.
З повагою — Яна.


Twoje słowa mają moc pomagania! Wpłać darowiznę i przekaż kilka słów wsparcia 🤲
Uważasz, że ta zbiórka zawiera niedozwolone treści ? Napisz do nas


Gdy świat się wali, dajemy nadzieję ❤️ Wspieramy chorych w pozyskaniu środków na leczenie, pomagamy zwierzętom i reagujemy natychmiast w pilnych sytuacjach kryzysowych 🚨
Jak odmienić los tysięcy potrzebujących za darmo?
✅ Wybierz Fundacja Pomagam.pl na liście OPP w rozliczeniu PIT.
✅ Wpisz nasz numer KRS 00 00 353 888 w deklaracji PIT.
Dla Ciebie to rubryka. Dla nich szansa, by przetrwać najgorsze.
Anya Nizhymlina
Скорейшего восстановления, Яночка 🙏
Anna
Желаю скорейшего выздоровления
Anonimowy Darczyńca
Тримайся!