
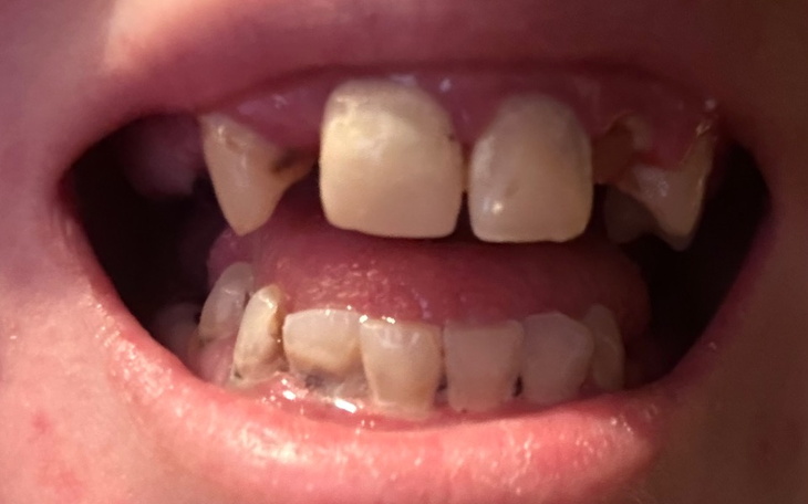
Moja Mama jest 30 letnia kobieta która samotnie wychowuje dwójkę dzieci, mnie i moją siostrę Klarę, Tata zmarł gdy urodziła się Klara ponieważ miał wypadek samochodowy. Mama wygrała walkę z nowotworem tarczycy lecz starcila i traci każdego dnia uzębienie. Na codzień wstyd jest nawet rozmawiać z ludźmi, Ona w ogóle się nie uśmiecha, bardzo proszę o pomoc
Uważasz, że ta zbiórka zawiera niedozwolone treści ? Napisz do nas


Gdy świat się wali, dajemy nadzieję ❤️ Wspieramy chorych w pozyskaniu środków na leczenie, pomagamy zwierzętom i reagujemy natychmiast w pilnych sytuacjach kryzysowych 🚨
Jak odmienić los tysięcy potrzebujących za darmo?
✅ Wybierz Fundacja Pomagam.pl na liście OPP w rozliczeniu PIT.
✅ Wpisz nasz numer KRS 00 00 353 888 w deklaracji PIT.
Dla Ciebie to rubryka. Dla nich szansa, by przetrwać najgorsze.