
Witam
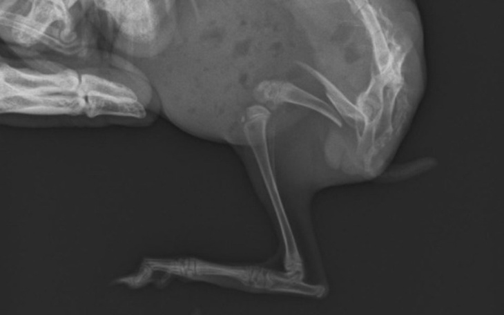
Mój krolik Leon złamal tylna łapkę. Ma dopiero miesiąc .jest bardzo żywym uszakiem .byłam u weteryniarza skierował go do ortopedy. Był i się załamalam jak usłyszałam jaka jest droga operacja.ale nie chce ze by się męczył 😢😢 jeśli możecie nam pomóc będziemy bardzo wdzięczni ☺


Gdy świat się wali, dajemy nadzieję ❤️ Pomagamy chorym i bezdomnym zwierzętom, ratujemy je w sytuacjach kryzysowych np. w czasie mrozów lub powodzi oraz wspieramy schroniska 🏠🐾
Jak odmienić los tysięcy potrzebujących za darmo?
✅ Wybierz Fundacja Pomagam.pl na liście OPP w rozliczeniu PIT.
✅ Wpisz nasz numer KRS 00 00 353 888 w deklaracji PIT.
Dla Ciebie to rubryka. Dla nich szansa, by przetrwać najgorsze.