
Pomóż Rico'wi znów biegać bez bólu!
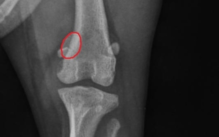
Kochani, zwracamy się do Was z prośbą o pomoc dla naszego ukochanego pieska, który niestety doznał poważnej kontuzji – zwichnął rzepkę. Ta urocza psina, która zawsze była pełna energii i radości, teraz cierpi, a każdy krok sprawia jej ból.
Rico to członek naszej rodziny, który każdego dnia wnosi do naszego życia mnóstwo miłości. Uwielbia biegać, bawić się i spędzać czas na świeżym powietrzu. Niestety, po ostatnim wypadku, każdy ruch jest dla niego wyzwaniem. Diagnoza weterynarza jest jednoznaczna – konieczna jest operacja, aby mógł znów normalnie funkcjonować i cieszyć się życiem bez bólu.
Koszty leczenia i rehabilitacji są jednak ogromne. Operacja, specjalistyczne leki, a potem długa rehabilitacja – to wszystko przewyższa nasze możliwości finansowe. Dlatego zwracamy się z prośbą do Was, ludzi o wielkich sercach, którzy rozumieją, jak ważne są zdrowie i dobrostan zwierząt. Każda, nawet najmniejsza wpłata, pomoże piesku wrócić do pełni zdrowia.
Dziękujemy Wam z całego serca za każdą pomoc, wsparcie i udostępnienie tej zbiórki. Dzięki Wam Rico ma szansę znów radośnie biegać i cieszyć się życiem, tak jak na to zasługuje!


Gdy świat się wali, dajemy nadzieję ❤️ Pomagamy chorym i bezdomnym zwierzętom, ratujemy je w sytuacjach kryzysowych np. w czasie mrozów lub powodzi oraz wspieramy schroniska 🏠🐾
Jak odmienić los tysięcy potrzebujących za darmo?
✅ Wybierz Fundacja Pomagam.pl na liście OPP w rozliczeniu PIT.
✅ Wpisz nasz numer KRS 00 00 353 888 w deklaracji PIT.
Dla Ciebie to rubryka. Dla nich szansa, by przetrwać najgorsze.