




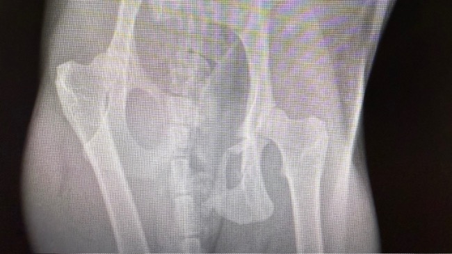
Dostaliśmy zgłoszenie z gminy Liszki o kotce potrąconej przez samochód. Gmina odmówiła pomocy, nie mają pieniędzy na takie zabiegi, zwierzęta często poddawane są eutanazji. My nie mogliśmy odmówić. Sytuacja była pilna. Okazało się, że kotka na złamaną miednicę. Przed zabiegiem musiała mieć przetoczoną krew, parametry czerwonokrwinkowe nie pozwalały na znieczulenie. Bardzo dziękujemy dziewczynom z fundacji Stawiamy na łapy, za natychmiastową pomoc, jeszcze tego samego dnia udało się znaleźć dawcę krwi i wzmocnić kotkę przed zabiegiem. Pimpa miała też wielkie szczęście, bo udało się znaleźć termin na CITO u świetnego ortopedy dr Rafała Korty z lecznicy Arwet, który złożył jej miednicę. Na chwilę obecną kotka jest bardzo słaba, ale dzielnie walczy. Niestety nie sika samodzielnie, jest cewnikowana. Nie chce też jeść, jest dokarmiana przez sondę. Za to parametry czerwonokrwinkowe poprawiają się. Czeka ją długa rekonwalescencja, przed nami jeszcze kastracja, oraz zabieg stomatologiczny, ale to dopiero po ustabilizowaniu stanu zdrowia. Dziękujemy też zespołowi Luxvet24 w Krakowie, za świetną opiekę zarówno przed, jak i po zabiegu. Bardzo prosimy o wsparcie, to dopiero początek walki o jej życie i zdrowie. Każda złotówka jest na wagę złota !
Uważasz, że ta zbiórka zawiera niedozwolone treści ? Napisz do nas


Gdy świat się wali, dajemy nadzieję ❤️ Pomagamy chorym i bezdomnym zwierzętom, ratujemy je w sytuacjach kryzysowych np. w czasie mrozów lub powodzi oraz wspieramy schroniska 🏠🐾
Jak odmienić los tysięcy potrzebujących za darmo?
✅ Wybierz Fundacja Pomagam.pl na liście OPP w rozliczeniu PIT.
✅ Wpisz nasz numer KRS 00 00 353 888 w deklaracji PIT.
Dla Ciebie to rubryka. Dla nich szansa, by przetrwać najgorsze.