
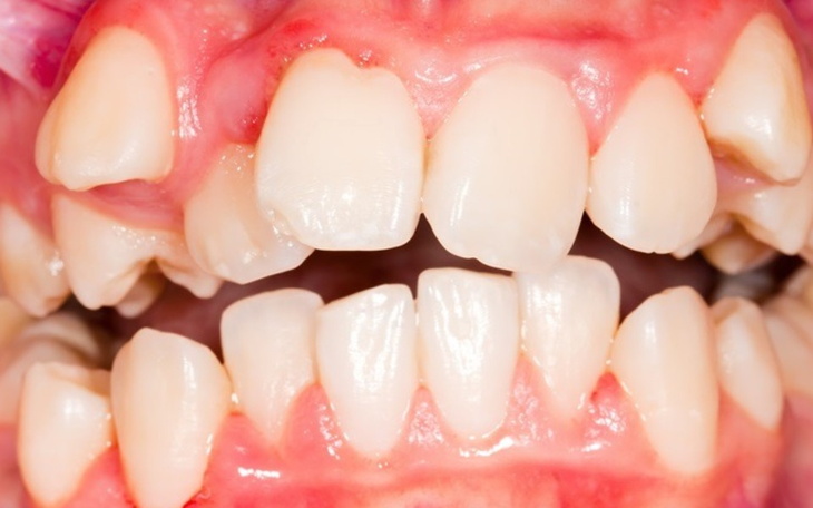
Jestem Edward i zbieram na leczenie ortodontyczne które jest bardzo drogie lecz nie mam na to funduszy i nie chcę obciążać rodziców których też nie stać. Mam coraz bardziej pogłębiającą się wadę zgryzu i jak najszybciej trzeba działać a leczenia nie da się rozłożyć na raty niestety + wyrywanie ósemek. Będę bardzo wdzięczny za każdą wpłaconą złotówkę.


Gdy świat się wali, dajemy nadzieję ❤️ Wspieramy chorych w pozyskaniu środków na leczenie, pomagamy zwierzętom i reagujemy natychmiast w pilnych sytuacjach kryzysowych 🚨
Jak odmienić los tysięcy potrzebujących za darmo?
✅ Wybierz Fundacja Pomagam.pl na liście OPP w rozliczeniu PIT.
✅ Wpisz nasz numer KRS 00 00 353 888 w deklaracji PIT.
Dla Ciebie to rubryka. Dla nich szansa, by przetrwać najgorsze.