
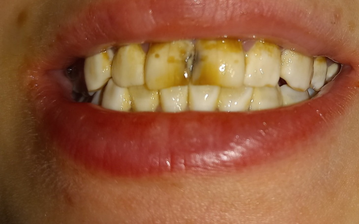
Witam, chciałabym uzbierać może chociaż połowę celu , ponieważ zęby są moim największym kompleksem. Mam 18 lat, od 10 lat nie byłam u dentysty bo albo moi rodzice nie pilnowali mojego uśmiechu i problemu, albo nie mieliśmy wystarczających kosztów. Naprawdę jest mi głupio o to prosić bo wiem, że jest wiele ważniejszych do pomocy zbiórek, ale już nie daje sobie rady. Przez próchnice na przednich zębach nie mogę rozmawiać z ludźmi, ponieważ się tego wstydzę. Przez co moje relacje z rówieśnikami są zerowe. Proszę, aby jakaś dobra osoba pomogła mi spełnić to marzenie, bo nie powiem to jest teraz moim celem,aby chociaż zrobić przednie zęby a na resztę jakoś uzbieram przez lata. Pierwszy raz tutaj cokolwiek piszę, mimo że długo się zastanawiałam czy to wstawić. Czuję się bardzo nie komfortowo wstawiając zdjęcie tych zębów,ponieważ ja nawet przy najbliższych mych osobach ich nie pokazuje. Jeżeli ktokolwiek mi pomoże naprawdę dziękuję z całego mojego serduszka i będę wdzięczna do końca życia, bo naprawdę nie mam jak zarobić tych pieniędzy, a psychicznie mnie już to wykańcza.


Gdy świat się wali, dajemy nadzieję ❤️ Wspieramy chorych w pozyskaniu środków na leczenie, pomagamy zwierzętom i reagujemy natychmiast w pilnych sytuacjach kryzysowych 🚨
Jak odmienić los tysięcy potrzebujących za darmo?
✅ Wybierz Fundacja Pomagam.pl na liście OPP w rozliczeniu PIT.
✅ Wpisz nasz numer KRS 00 00 353 888 w deklaracji PIT.
Dla Ciebie to rubryka. Dla nich szansa, by przetrwać najgorsze.