Adrian Laskowski
08.11.2024
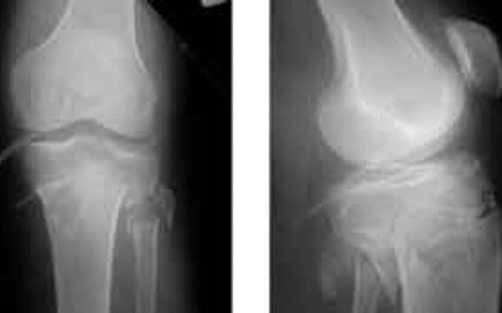
Wizyta kontrolna u ortopedy stwierdziła że po operacji mam skrzywienie kolana w osi ze stopą. Spowodowane jest to krzywo skręconą płytką oraz śrubami. W takim stanie nie wrócę do sprawności w najbliższej przyszłości. Mam problemy ze zginaniem kolana oraz stawu skokowego. Rozwiązaniem jest operacja w klinice prostującej Oś oraz usuniecie krzywo przykręconych elementów. Niestety ale nie ma możliwości zrobienia tego na NFZ ponieważ nie widzą problemu(sprawności kolana na 60% jest akceptowalne przez NFZ)i zostaje jedynie prywatna klinika plastyki kolana po której kolano wróci do zakresu 95% sprawności. Nie mogę wrocić do pracy ze względu na kolano a nie chcę być niepełnosprawny do końca życia z powodu ze system olewa ludzi w potrzebie.




Paulina
Jestem w tej samej sytuacji ale operacja dopiero przede mną. Oboje damy radę i jeszcze pochodzimy na długie dystanse :)