Tak było w dniu znalezienia Gucia!!!
A tak jest dzisiaj - ćwiczy dalej:
Gucio miał drugą operację, znowu wysunął się inny dysk :( Więc wracamy do ćwiczeń...trzymajcie kciuki, żeby już mu się nic więcej nie wysuwało :(
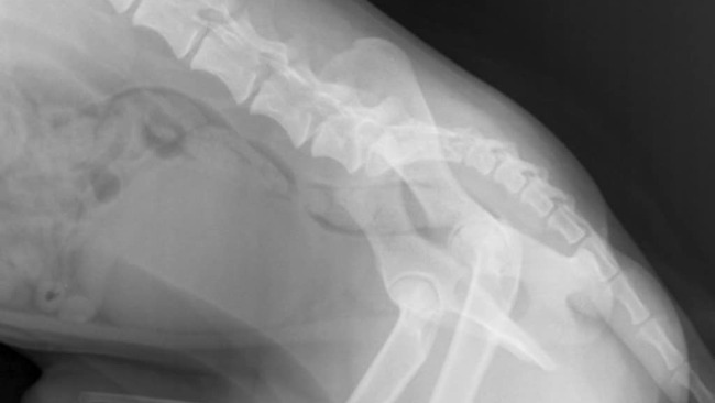
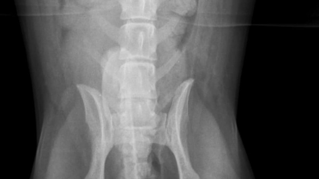
W samym środku lasu, z dala od ludzi i pomocy, znaleziono małego, biszkoptowego psiaka — wycieńczonego, zdezorientowanego, który ciągnął za sobą tylne łapy. Wszyscy, którzy go zobaczyli, byli przekonani, że to koniec… że ma przerwany rdzeń kręgowy i już nigdy nie stanie na nogi.
Na szczęście Gucio trafił na dobrych ludzi, którzy nie przeszli obok obojętnie.Został zgłoszony do pani Magdy, prowadzącej schronisko w Rytlowie, która natychmiast zorganizowała dla niego pomoc i opiekę.Po szybkiej konsultacji w przychodni weterynaryjnej Hesse we Włoszczowie, Gucio trafił do gabinetu Cztery Łapy w Kielcach, gdzie opiekę nad nim przejął dr Kabała.Tam rozpoczęła się walka o jego zdrowie i powrót do sprawności — badania, diagnostyka, operacja i rehabilitacja .





Gucio codziennie pokazuje, jak bardzo chce żyć. Widać w jego oczach nadzieję i siłę, żeby walczyć Obecnie przebywa na przemian między gabinetem Cztery Łapy (gdzie odbywa rehabilitację) a domem tymczasowym, który otoczył go troską i ciepłem.


Przed nim jednak długa droga do sprawności — a koszty diagnostyki, operacji, pobytu w lecznicy i rehabilitacji to olbrzymia kwota. Ma zalecone 3 pięciodniowe cykle stacjonarnej rehabilitacji w lecznicy. Każdy "cykl" to koszt ok. 1000 zł. Fakturę dostaniemy po zakończeniu rehabilitacji.

Każda złotówka przybliża Gucia do tego, by znów mógł biegać, merdać ogonkiem i cieszyć się życiem, które już raz mogło się skończyć w lesie.
Patrzcie jakie to kochane psisko!!!
Zobaczcie!!! Jak Guciu wraca do sprawności po operacji i rehabilitacji :) Prosimy o dalsze wsparcie :(
A tak dzielnie ćwiczy łapki!!!

Faktura za 1 operacje, tomograf i leki:

23.12
Wstawiamy pierwszą f-rę za rehabilitację Gucia.

Faktura za druga operację:

F-ra za kastracje:

i jeszcze tu wstawimy kolejna fakturę za rehabilitację Gucia :(
Gucio tymczasem pozdrawia wszystkich jego fanów! :) i nie przejmuje się pieniędzmi :)


Z góry dziękujemy Wam za wsparcie!
Uważasz, że ta zbiórka zawiera niedozwolone treści ? Napisz do nas


Gdy świat się wali, dajemy nadzieję ❤️ Pomagamy chorym i bezdomnym zwierzętom, ratujemy je w sytuacjach kryzysowych np. w czasie mrozów lub powodzi oraz wspieramy schroniska 🏠🐾
Jak odmienić los tysięcy potrzebujących za darmo?
✅ Wybierz Fundacja Pomagam.pl na liście OPP w rozliczeniu PIT.
✅ Wpisz nasz numer KRS 00 00 353 888 w deklaracji PIT.
Dla Ciebie to rubryka. Dla nich szansa, by przetrwać najgorsze.