
Jestem Ania i błagam o pomoc.
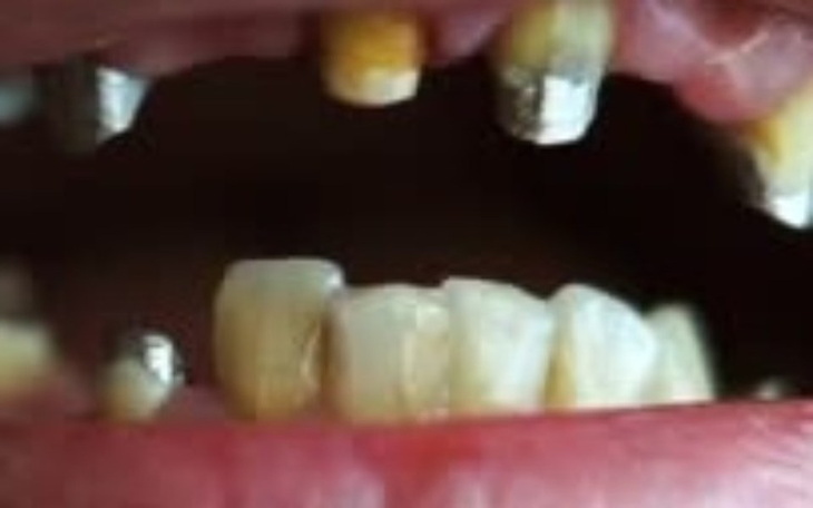
Od dziecka mam bardzo kruche kości, przez co zmagam się ze złamaniami i próchnicą zębów. Oprócz dziesiątek złamań kości, bólu i hospitalizaji, mój organizm nie radzi sobie z tą autoimmunologiczną chorobą, która objawia się także poprzez znaczną próchnicę zębów. To jest mój życiowy koszmar. Zęby leczyłam od dziecka i niestety ale każda kość ma swoje granice. Moje zęby niestety są już u kresu i zostały same korzenie. Wg stomatologa, 90% wymaga całkowitej odnowy.
Zarabiam niewiele, a koszt implantów jest dla mnie iście kosmiczny. Tak bardzo chciałabym mieć piękny i zdrowy uśmiech, ale nigdy nie będzie mnie na niego stać.
Pomimo wykształcenia, przez swoje uzębienie, nie mogę też znaleźć dobrej pracy. Znajomi odwracają się ode mnie, bo nie jestem atrakcyjna w grupie. Wszystko to się zapętla ze sobą i jest źródłem problemów. Chciałabym też wreszcie znaleźć kogoś mi bliskiego i wiem, że bez uzębienia, będzie to niemożliwe.
Dlatego proszę ludzi dobrej woli o wsparcie.
Moim marzeniem jest się po prostu móc uśmiechnąć bez skrępowania :)
Dziękuję!


Gdy świat się wali, dajemy nadzieję ❤️ Wspieramy chorych w pozyskaniu środków na leczenie, pomagamy zwierzętom i reagujemy natychmiast w pilnych sytuacjach kryzysowych 🚨
Jak odmienić los tysięcy potrzebujących za darmo?
✅ Wybierz Fundacja Pomagam.pl na liście OPP w rozliczeniu PIT.
✅ Wpisz nasz numer KRS 00 00 353 888 w deklaracji PIT.
Dla Ciebie to rubryka. Dla nich szansa, by przetrwać najgorsze.