
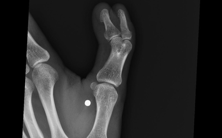
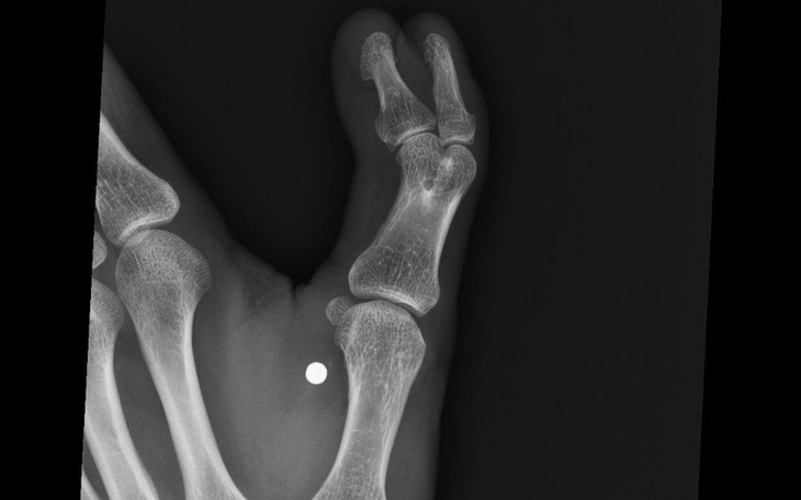
Witam wszystkich od dziecka zmagam się z bardzo wstydliwą chorobą a mianowicie posiadam dodatkowo jeden palec u lewej dłoni . Gdy byłem dzieckiem zabieg był nie możliwy ponieważ palec jeszcze się rozwijal i musiał się po prostu dokładnie rozwinąć,wczesna operacja mogłaby spowodować problem z prawidłowym rozwijaniem prawidłowego palca.. Gdy byłem młodzieńcem operacja miała dojść do skutku jednak wstyd nie pozwolił mi pokazać tego palca nawet lekarzowi. Tak mijały lata , aż do teraz postanowiłem pokonać wstyd i zrobić z tym porządek jednak próbując zrobić operację na fundusz zdrowia usłyszałem diagnozę iż będę musiał czekać na zabieg nawet kilka lat. Chciałabym zacząć żyć normalnie i przestać ukrywać się z moim dodatkowym palcem,dlatego proszę wszystkich o pomoc, niestety brakuje mi środków na operację która może wynieść nawet 15 tysięcy zloty(operacja około 8-9 tysięcy plus wizyty u lekarzy i późniejsza rehabilitacja .Celem zbiórki jest 12 tys gdyż pozostala część kwoty postaram się pokryć sam. Bardzo proszę o pomoc i jednocześnie dziękuję.🤗


Gdy świat się wali, dajemy nadzieję ❤️ Wspieramy chorych w pozyskaniu środków na leczenie, pomagamy zwierzętom i reagujemy natychmiast w pilnych sytuacjach kryzysowych 🚨
Jak odmienić los tysięcy potrzebujących za darmo?
✅ Wybierz Fundacja Pomagam.pl na liście OPP w rozliczeniu PIT.
✅ Wpisz nasz numer KRS 00 00 353 888 w deklaracji PIT.
Dla Ciebie to rubryka. Dla nich szansa, by przetrwać najgorsze.