
Dominika, młoda kobieta o pięknych oczach, od lat walczy z niewidzialnymi demonami. Niepełnosprawność, depresja, lęk uogólniony - te słowa towarzyszą jej od nastoletniego wieku. Już 15 lat spędziła na terapii, szukając wytchnienia od mroku, który zacisnął się na jej duszy.
Teraz, w wieku zaledwie 28 lat, Dominika znów staje w obliczu kolejnej walki. Ciężka depresja skuła ją kajdanami strachu, uniemożliwiając samodzielne wyjście z domu. Nawet wizyty u lekarza stają się wyzwaniem, które pokonuje jedynie u boku męża.
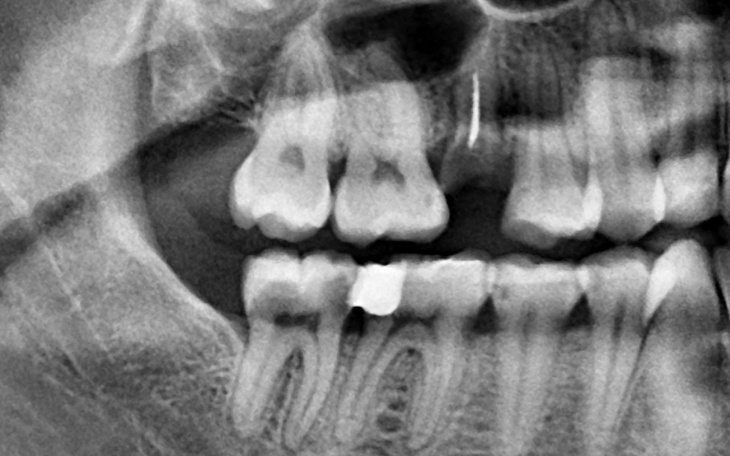
W tym morzu bólu i lęku, Dominika dostrzega jeszcze iskierkę nadziei. Marzy o powrocie do uśmiechu, o tym, by znów móc cieszyć się życiem bez grymasu bólu na twarzy. Ale dwa zęby, wymagające leczenia kanałowego, stają się barierą nie do pokonania.
5 ząb dolny po lewej stronie i prawy ząb dolny po prawej stronie - te dwa zęby to nie tylko ból, ale i strach przed utratą. Dominika nie chce tracić ich w tak młodym wieku, zwłaszcza że jeden z nich już się wykruszył, pozostawiając jedynie korzeń.
Niestety, renta socjalna, będąca jej jedynym źródłem utrzymania, nie pozwala na pokrycie kosztów leczenia. Połowa tych środków idzie na leki, a reszta ledwo starcza na skromne życie.
Mieszkając kątem u przyjaciół, Dominika błaga o pomoc. Każda złotówka to krok ku odzyskaniu uśmiechu, ulga w cierpieniu i nadzieja na lepsze jutro.
Pomóż Dominice pokonać ból i strach! Otwórz swoje serce i wspomóż jej walkę o powrót do normalności. Nie pozwólmy, aby złamany uśmiech stał się symbolem jej życia.
Nawet najmniejsza wpłata ma znaczenie! Razem możemy przywrócić Dominice nadzieję i wiarę w lepsze jutro.
Zdjęcie było wykonane w lutym i od tamtego czasu stan się pogorszył...
Wpłać teraz i pomóż Dominice pokonać ból!
Udostępnij tę zrzutkę, aby więcej osób mogło pomóc!
Dziękujemy za Twoją hojność!
Twoje słowa mają moc pomagania! Wpłać darowiznę i przekaż kilka słów wsparcia 🤲
Uważasz, że ta zbiórka zawiera niedozwolone treści ? Napisz do nas


Gdy świat się wali, dajemy nadzieję ❤️ Wspieramy chorych w pozyskaniu środków na leczenie, pomagamy zwierzętom i reagujemy natychmiast w pilnych sytuacjach kryzysowych 🚨
Jak odmienić los tysięcy potrzebujących za darmo?
✅ Wybierz Fundacja Pomagam.pl na liście OPP w rozliczeniu PIT.
✅ Wpisz nasz numer KRS 00 00 353 888 w deklaracji PIT.
Dla Ciebie to rubryka. Dla nich szansa, by przetrwać najgorsze.
Anonimowy Darczyńca
Wiem jak to jest mieć depresję. Nie trać nadziei. Życie to największy dar, który trzeba bronić za wszelką cenę. Cierpliwości i wytrwałości