
Witajcie zwierzoluby!
Część z Was na pewno zauważyła, że rzadko prosimy o pomoc. Tym razem bez Was zrobimy niewiele. Ale od początku.
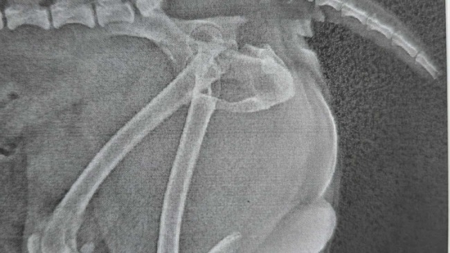
Tango (imię schroniskowe) przyjechał do nas z innej lecznicy do której trafił po wypadku. Odpowiednio zaopatrzony i zaopiekowany przyjechał z paskudną diagnozą - złamanie kości miednicy. Szybka burza mózgów, kontakt z lecznicami, kontakt z rehabilitantami i udało się znaleźć odpowiednie miejsca dzięki którym psiak w przyszłości będzie mógł wrócić do pełnej sprawności.
Tango wie, że nie zostawimy go bez pomocy, ale niestety ta pomoc jest kosztowna. Koszty samego zabiegu opiewają na blisko 2000 złotych. Do tego dochodzą jeszcze koszty opieki medycznej oraz rehabilitacji. Część z tych środków jesteśmy w stanie pokryć. Jednak nie wszystko. Dlatego zwracamy się do Was - zwierzolubów, ludzi, których los zwierząt nie jest obojętny. Organizujemy zbiórkę na operację Tango i wierzymy, że pieniądze nie staną na przeszkodzie pełnego powrotu do zdrowia tego urwisa. Ten młody psiaczek jeszcze niewiele w życiu widział a już musiał tyle wycierpieć Wspólnymi siłami możemy dać mu jeszcze wiele lat szczęścia Możemy na Was liczyć? Zamieszczamy zdjęcia Tango wraz ze zdjęciami RTG jako (jak to mawiają w policji) dowód w sprawie
Zabieg odbędzie się dzisiaj, znaleźliśmy termin, Przychodnia operująca będzie musiała poczekać na wpłatę :)

Twoje słowa mają moc pomagania! Wpłać darowiznę i przekaż kilka słów wsparcia 🤲
Uważasz, że ta zbiórka zawiera niedozwolone treści ? Napisz do nas


Gdy świat się wali, dajemy nadzieję ❤️ Pomagamy chorym i bezdomnym zwierzętom, ratujemy je w sytuacjach kryzysowych np. w czasie mrozów lub powodzi oraz wspieramy schroniska 🏠🐾
Jak odmienić los tysięcy potrzebujących za darmo?
✅ Wybierz Fundacja Pomagam.pl na liście OPP w rozliczeniu PIT.
✅ Wpisz nasz numer KRS 00 00 353 888 w deklaracji PIT.
Dla Ciebie to rubryka. Dla nich szansa, by przetrwać najgorsze.
Ula T.
Zdrowiej Tango ♥️