
Zbieramy pieniądze na ortezę ortopedyczną klatki piersiowej dla 15 letniego syna .
Rok temu z powodu bardzo szybkiego wzrostu, oraz wad genetycznych dziedzicznych jego łuki żebrowe z lewej strony zapadły się a z prawej wydłużyły co wywołało znaczne deformacje klatki piersiowej.
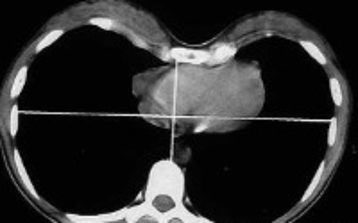
Mostek coraz bardziej zbliża się do jego serduszka co może stanowić poważne zagrożenie życia.
Ortopedzi przez długi czas odsyłali nas jeden do drugiego załamując ręce i namawiając do operacji, aż w końcu trafiliśmy na jedynego chirurga dziecięcego w Polsce który wie jak ... i potrafi nam pomóc .
Mamy jeszcze tylko ok 6 miesięcy czasu aby wszystko skorygować
W wieku ok 16 lat chrząstki żeber zaczynają kostnieć ...
jest to dla nas ogromna walka z czasem...
... po tym okresie klatki (żeber i mostka)nie da się już wyprostować co gorsza dalszy wzrost prowadzi do coraz większej deformacji...
Żeby udało się naprawić tak złożoną deformację klatki syna ,oraz ocalić serduszko przed uciskiem potrzebna będzie odpowiednia Orteza robiona na zlecenie aż w Stanach Zjednoczonych .Koszt takiej ortezy to aż 10000 zł
będę ogromnie wdzięczna za każdą złotówkę wpłaconą dla syna
...bardzo proszę o pomoc...
..tak niewiele czasu zostało...


Gdy świat się wali, dajemy nadzieję ❤️ Wspieramy chorych w pozyskaniu środków na leczenie, pomagamy zwierzętom i reagujemy natychmiast w pilnych sytuacjach kryzysowych 🚨
Jak odmienić los tysięcy potrzebujących za darmo?
✅ Wybierz Fundacja Pomagam.pl na liście OPP w rozliczeniu PIT.
✅ Wpisz nasz numer KRS 00 00 353 888 w deklaracji PIT.
Dla Ciebie to rubryka. Dla nich szansa, by przetrwać najgorsze.