
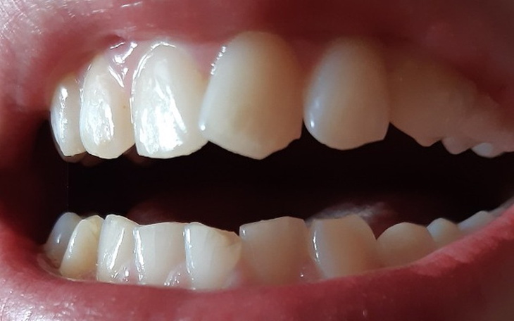
Chodze do technikum, w wolnych chwilach dorabiam jakies pieniążki by choć trochę pomóc rodzicą i 4 rodzeństwa. Jestem 18-letnią dziewczyną ktora zawsze powinna chodzić uśmiechnięta i niczego się nie wstydzić ze mną tak nie jest moim kompleksem jest krzywy zgryz (krzywe zęby) pochodze z rodziny której nie stać na wydatek ok.4000 zl na stały aparat ortodątyczny. Leczyłam już tą wade ruchomym aparatem ortodątycznym dzięki któremu zgryz się trochę poprawił ale niestety później zatrzymał się w miejscu. Moja pani ortodąta mówi ze w tym przypadku jedynym sposobem na proste zęby jest stały aparat. Dzięki niemu pozbyłabym się mojego odwiecznego problemu i spełniło by się moje największe marzenie PROSTE ZĘBY i co za tym idzie ładny uśmiech. Może dla niektórych to nic takiego ale dla mnie to wiele znaczy.
Uważasz, że ta zbiórka zawiera niedozwolone treści ? Napisz do nas


Gdy świat się wali, dajemy nadzieję ❤️ Wspieramy chorych w pozyskaniu środków na leczenie, pomagamy zwierzętom i reagujemy natychmiast w pilnych sytuacjach kryzysowych 🚨
Jak odmienić los tysięcy potrzebujących za darmo?
✅ Wybierz Fundacja Pomagam.pl na liście OPP w rozliczeniu PIT.
✅ Wpisz nasz numer KRS 00 00 353 888 w deklaracji PIT.
Dla Ciebie to rubryka. Dla nich szansa, by przetrwać najgorsze.